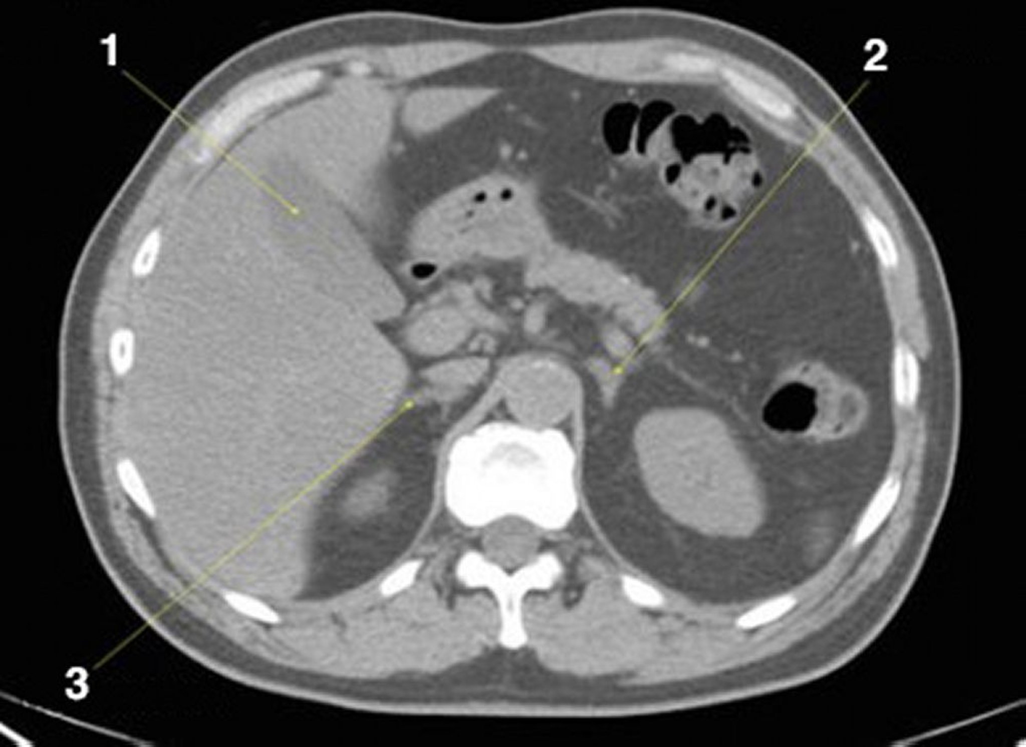
TC senza contrasto dell'addome e della pelvi che mostra l'anatomia normale (Slide 8)
1 = colecisti; 2 = ghiandola surrenale sinistra; 3 = ghiandola surrenale destra.
© Springer Science+Business Media
In questi argomenti
1 = colecisti; 2 = ghiandola surrenale sinistra; 3 = ghiandola surrenale destra.
© Springer Science+Business Media