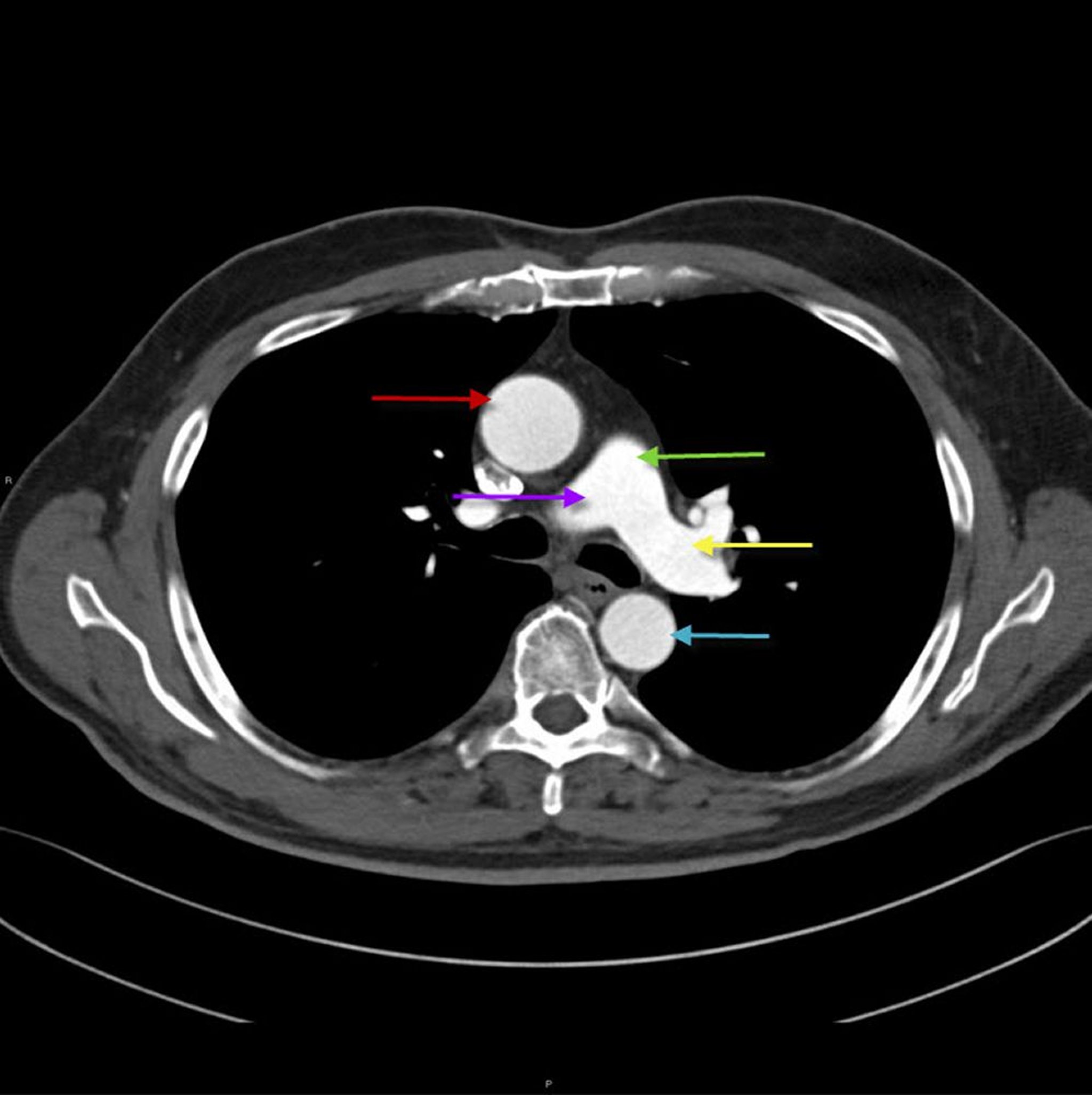
TC del torace che mostra l'anatomia dell'aorta e dell'arteria polmonare
Questa immagine mostra l'aorta toracica ascendente (freccia rossa) con l'aorta toracica discendente (freccia blu). L'arteria polmonare principale (freccia verde) si divide nell'arteria polmonare destra (freccia viola) e sinistra (freccia gialla).
© 2017 Elliot K. Fishman, MD.
In questi argomenti
