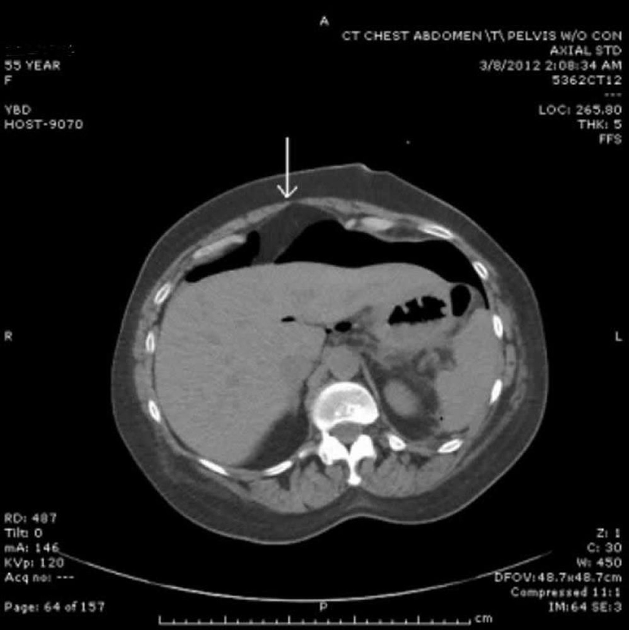
TC con aria libera nel peritoneo
L'aria libera è vista anteriormente al fegato. La freccia indica il legamento falciforme.
Image provided by Parswa Ansari, MD.
L'aria libera è vista anteriormente al fegato. La freccia indica il legamento falciforme.
Image provided by Parswa Ansari, MD.