Stent endovascolare
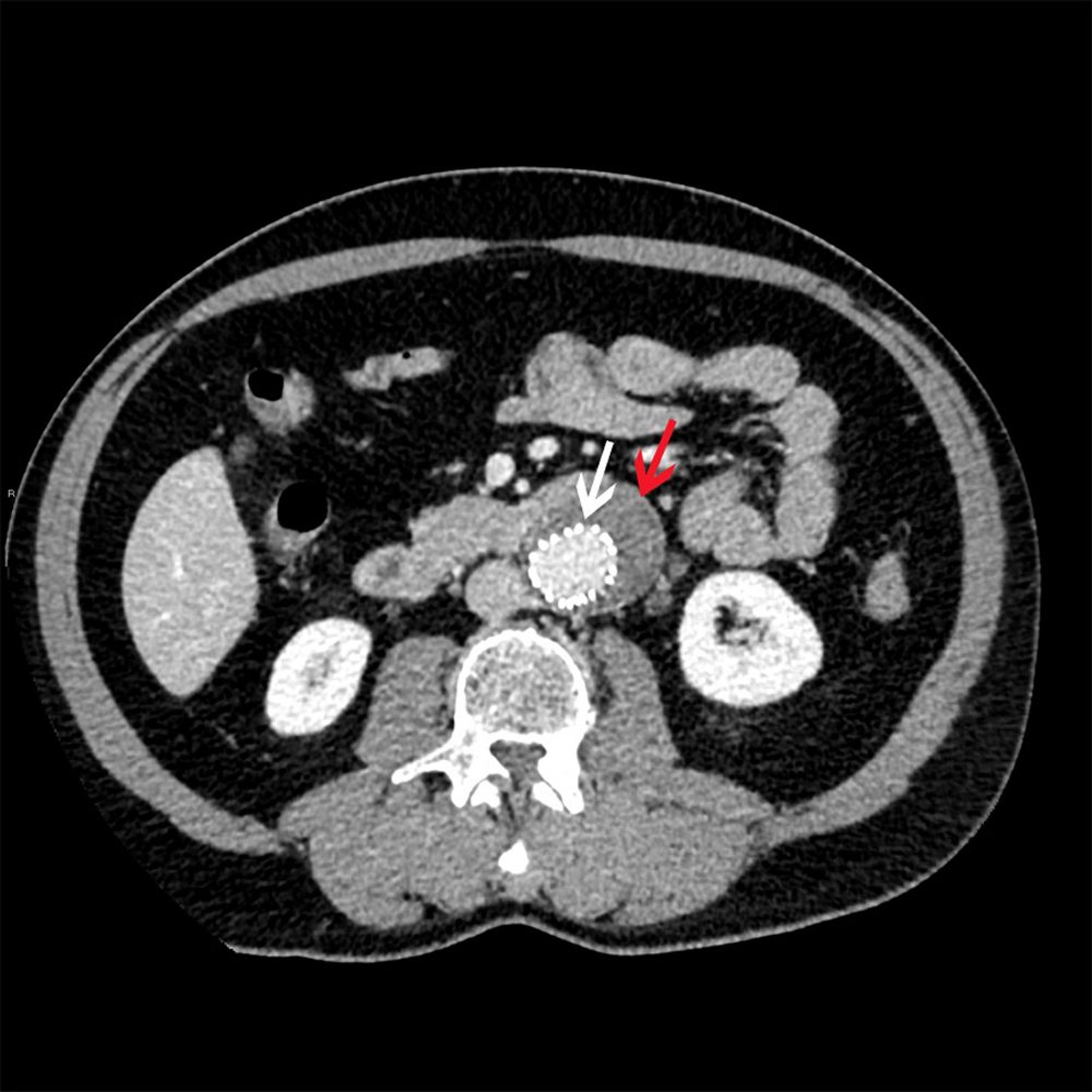
La freccia bianca mostra uno stent endovascolare all'interno di un aneurisma addominale (freccia rossa).
© 2017 Elliot K. Fishman, MD.
In questi argomenti
La freccia bianca mostra uno stent endovascolare all'interno di un aneurisma addominale (freccia rossa).
© 2017 Elliot K. Fishman, MD.