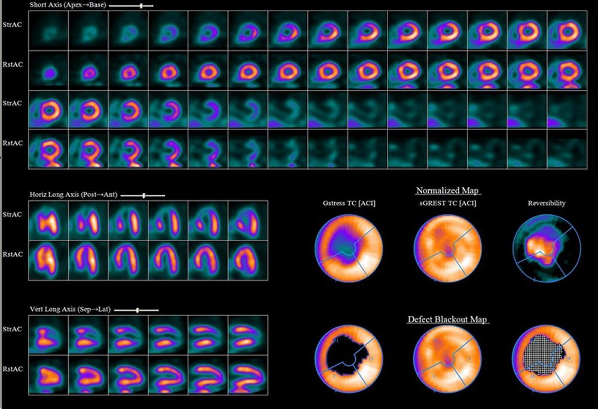
SPECT nell'angina di recente esordio
Immagini di stress e di riposo dalla tomografia computerizzata a emissione di singolo fotone di un uomo di 52 anni con angina a esordio recente. Le immagini ottenute sotto sforzo (linee di immagini o mappe polari indicate come Str o Stress [sforzo]) mostrano una vasta area di ischemia nel territorio servito dall'arteria discendente anteriore sinistra che è assente a riposo (file di immagini o mappe polari denotate Rst o Rest [riposo]). L'angiografia ha confermato un'occlusione del 95- 99% che coinvolge la biforcazione della discendente anteriore sinistra al primo ramo diagonale. Le immagini sotto sforzo mostrano una minore captazione (più viola o opaca) rispetto alle aree luminose a riposo.
Immagine fornita da James R. Corbett, MD.
In questi argomenti
