Sindrome di Alport (nefrite ereditaria)
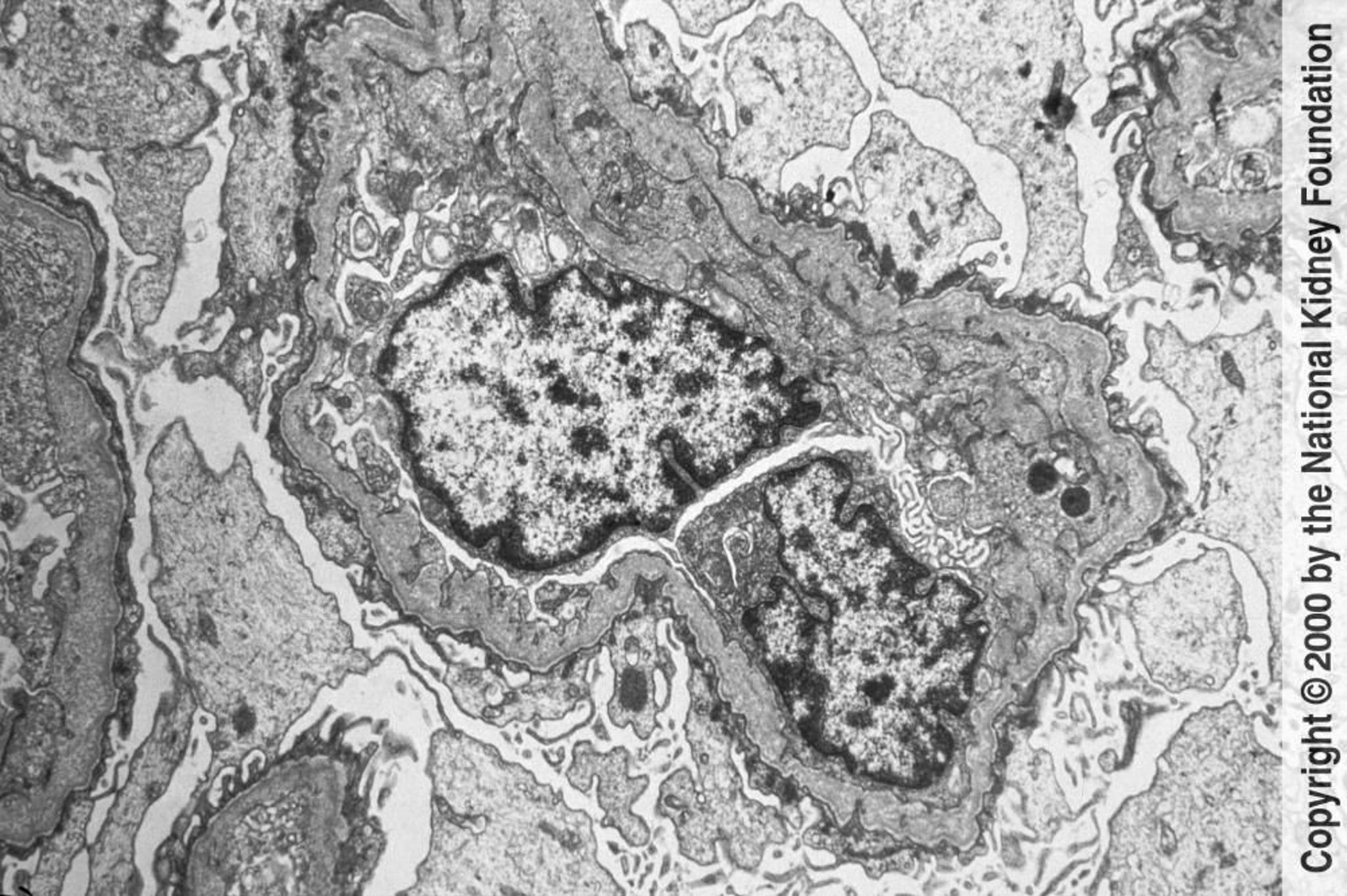
Le membrane basali glomerulari in la microscopia elettronica a trasmissione mostrano assottigliamenti e ispessimenti irregolari con aspetto a trama di cesto. I cambiamenti sono causati dai danni e dal rimodellamento (×6000).
Imagine fornita da Agnes Fogo, MD, and the American Journal of Kidney Diseases' Atlas of Renal Pathology (vedi www.ajkd.org).
In questi argomenti
