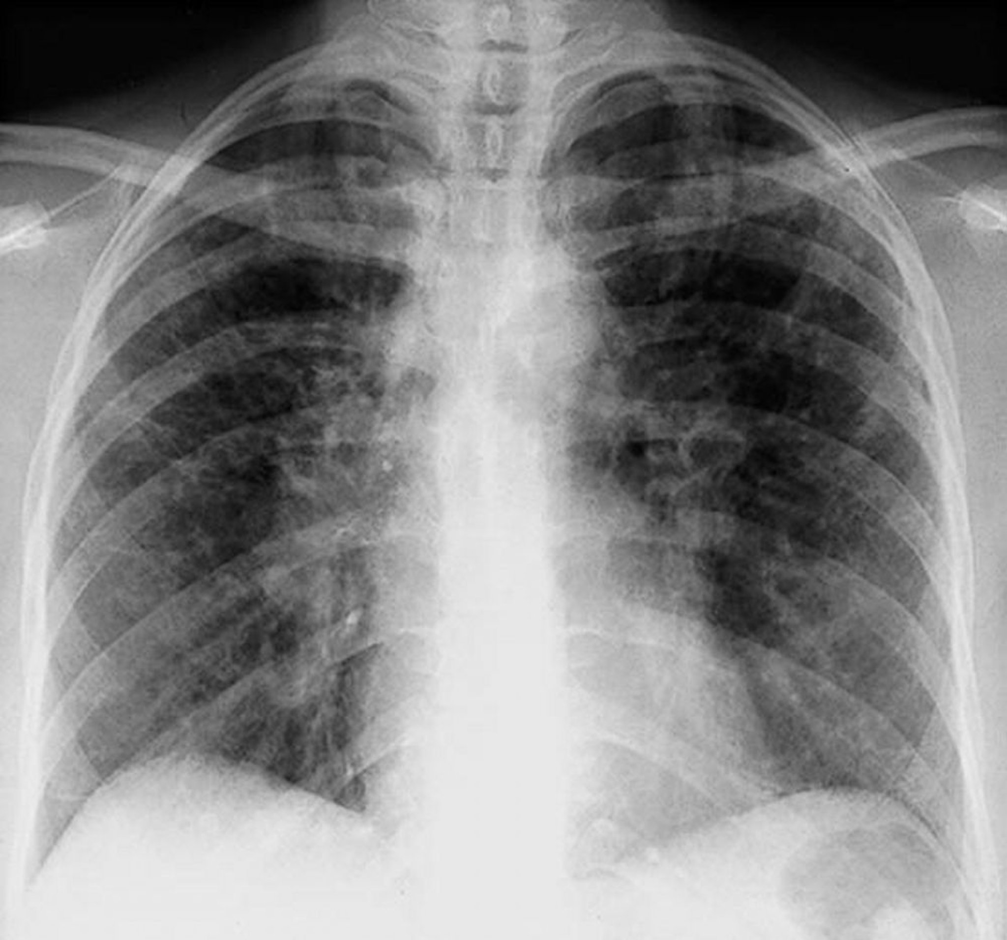
Sarcoidosi (stadio II)
Adenopatie ilari bilaterali con opacità interstiziali nella sarcoidosi al II stadio.
By permission of the publisher. Da Tanoue L, Elias J. In Bone's Atlas of Pulmonary and Critical Care Medicine. Edited by J Crapo. Philadelphia, Current Medicine, 2005.
In questi argomenti
