Sarcoidosi (stadio I)
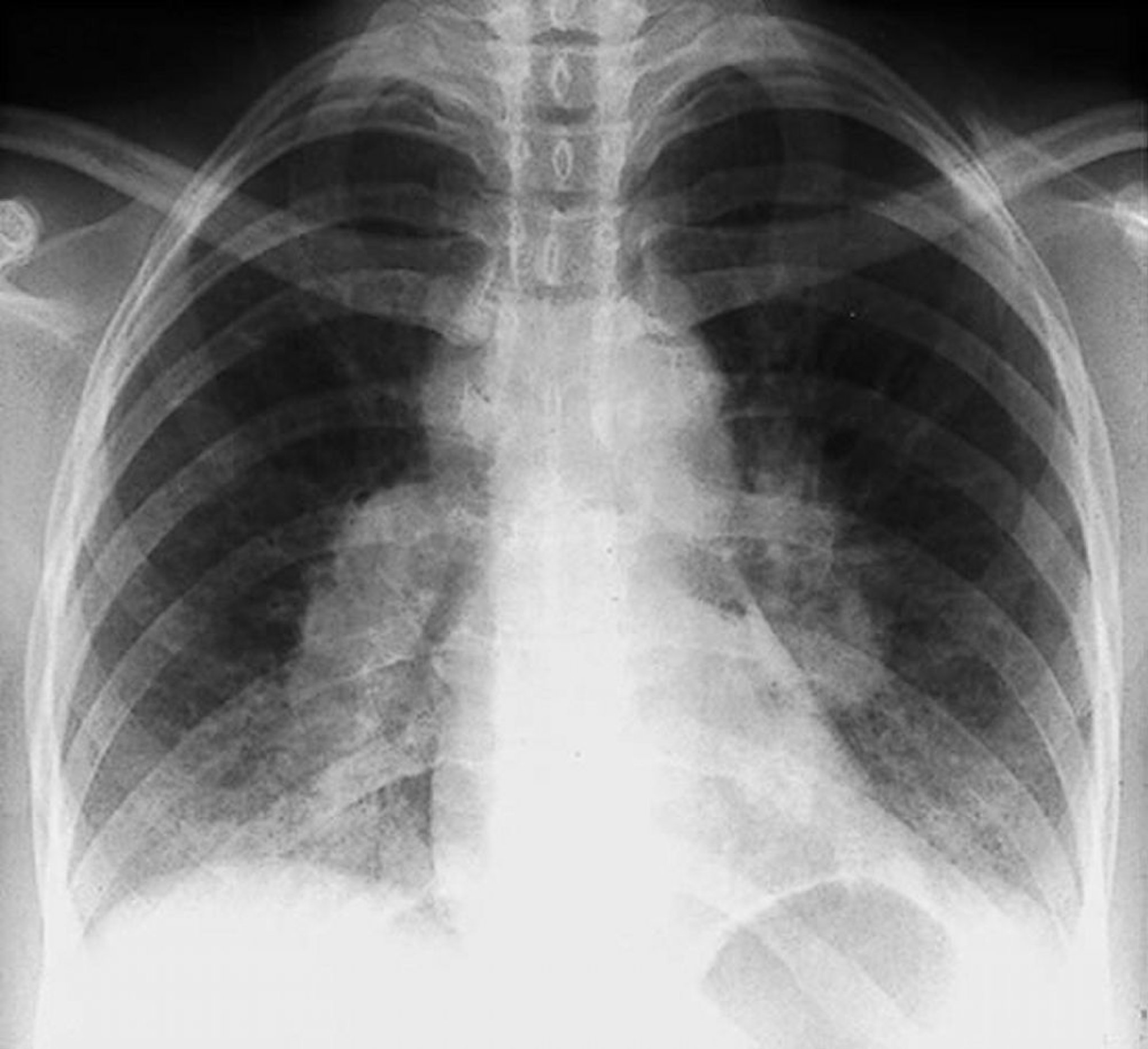
Adenopatia ilare bilaterale nella sarcoidosi di stadio I.
By permission of the publisher. Da Tanoue L, Elias J. In Bone's Atlas of Pulmonary and Critical Care Medicine. Edited by J Crapo. Philadelphia, Current Medicine, 2005.
In questi argomenti
