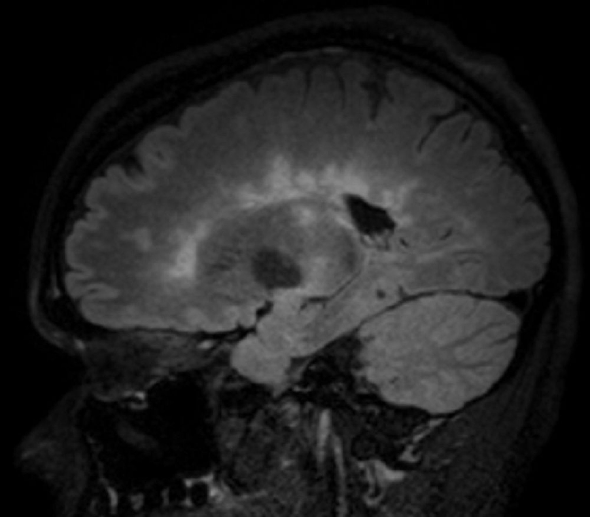
RM (FLAIR [fluid-attenuating inversion recovery]) nella sclerosi multipla
Questa immagine mostra molteplici lesioni iperintense della sostanza bianca viste in un'incidenza sagittale del cervello in un paziente con sclerosi multipla. Questo risultato è talvolta chiamato dita di Dawson.
© 2017 Elliot K. Fishman, MD.
In questi argomenti
![RM (FLAIR [fluid-attenuating inversion recovery]) nella sclerosi multipla](https://edge.sitecorecloud.io/mmanual-ssq1ci05/media/professional/images/m/r/i/mri-multiple-sclerosis-sagittal-flair_it.jpg?sc_lang=it&mw=2048)