Reperti RM di sarcoidosi cardiaca
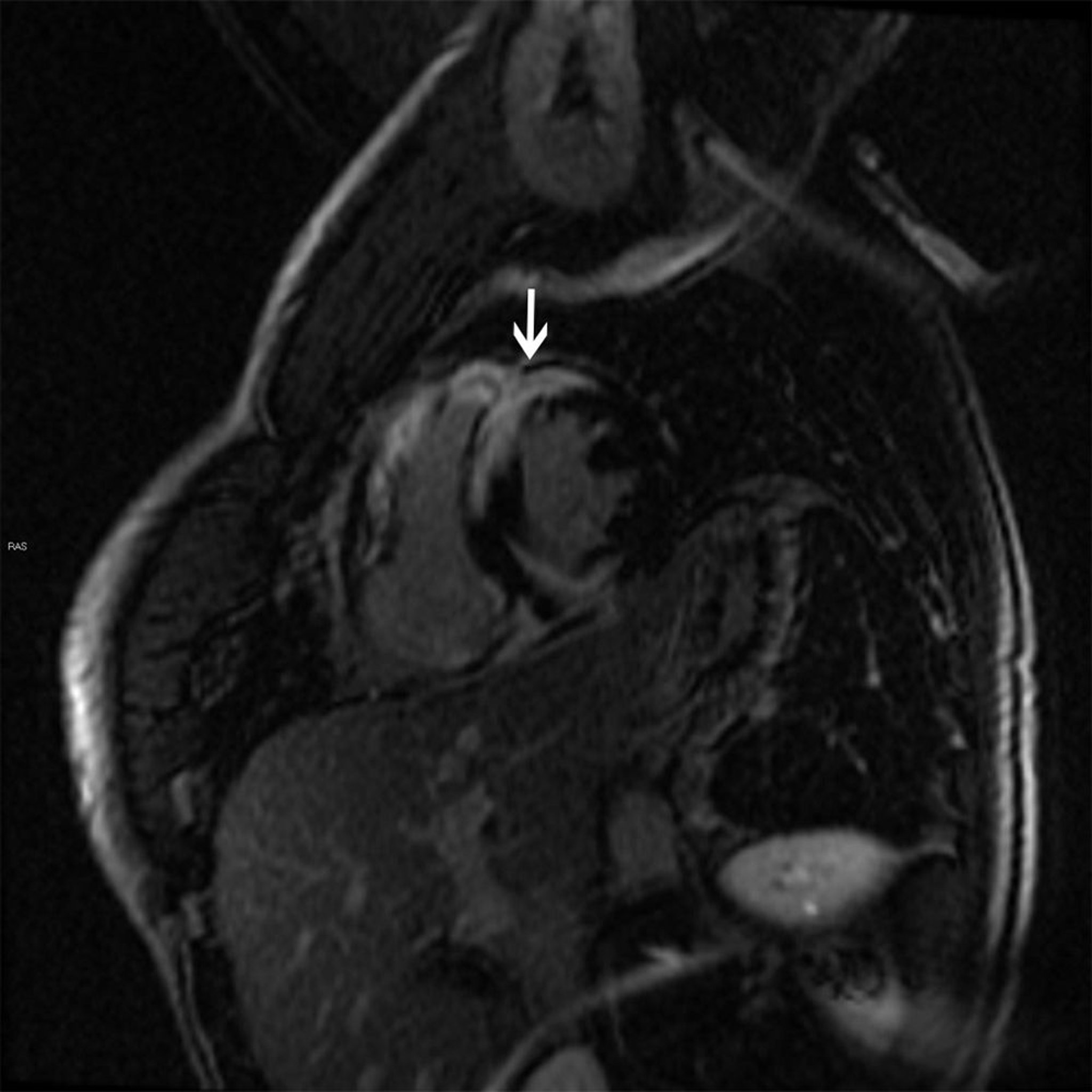
Questa RM cardiaca mostra un pattern di enhancement transmurale (freccia) del gadolinio tardivo caratteristico della sarcoidosi, che può causare una cardiomiopatia dilatativa o ipertrofica.
© 2017 Elliot K. Fishman, MD.
In questi argomenti
