Radiografia del torace di un paziente dopo un intervento di bypass coronarico
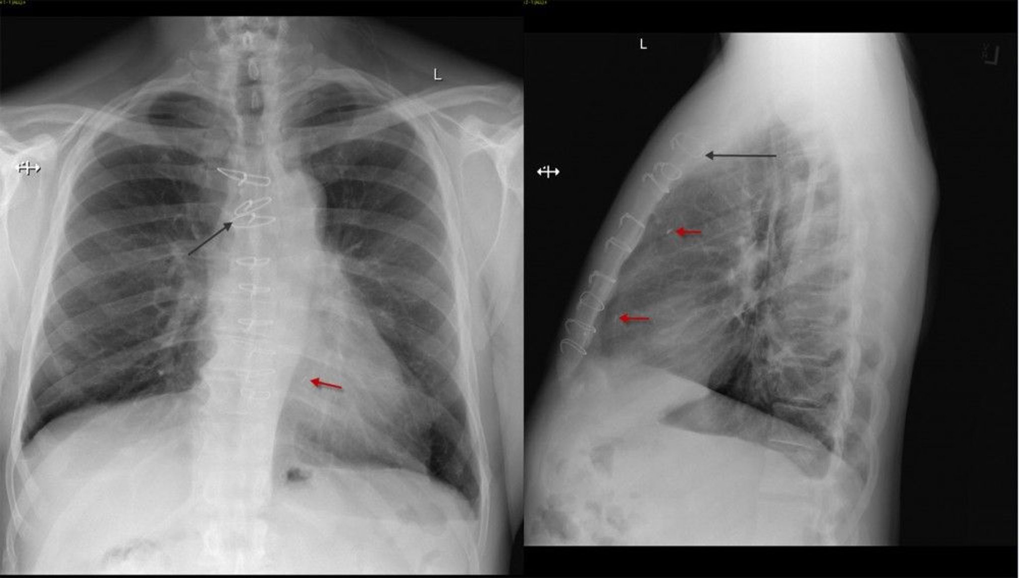
Radiografia frontale e laterale del torace di un paziente dopo intervento di bypass aorto-coronarico che mostra suture sternali (freccia nera) e clip chirurgici (freccia rossa).
© 2017 Elliot K. Fishman, MD.
In questi argomenti
