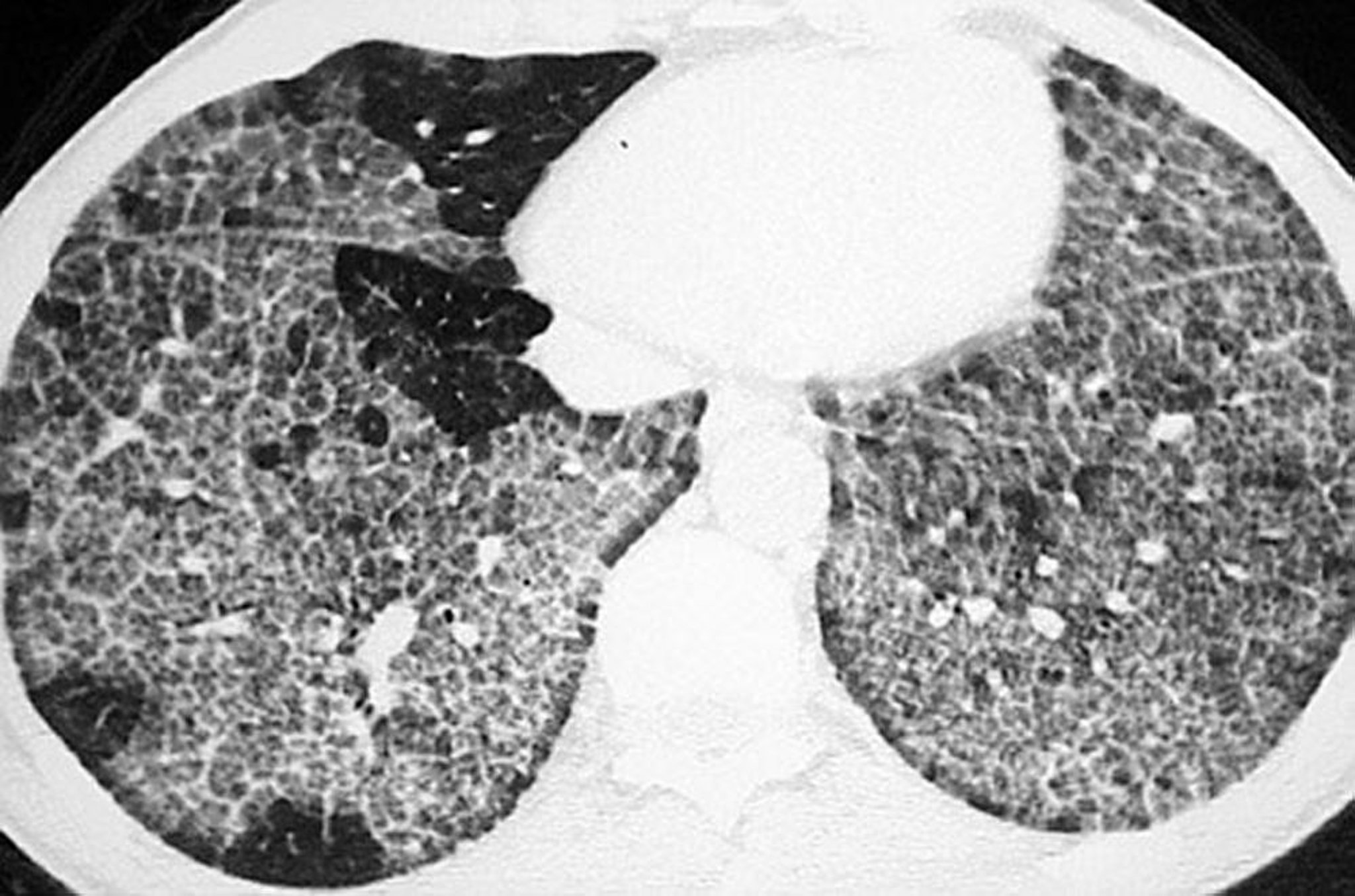
Proteinosi alveolare polmonare (TC)
La TC ad alta risoluzione mostra opacità a vetro smerigliato e ispessimento delle strutture intralobulari e setti con aspetto poligonale ("crazy-paving").
Image courtesy of Talmadge E. King, MD.
In questi argomenti
