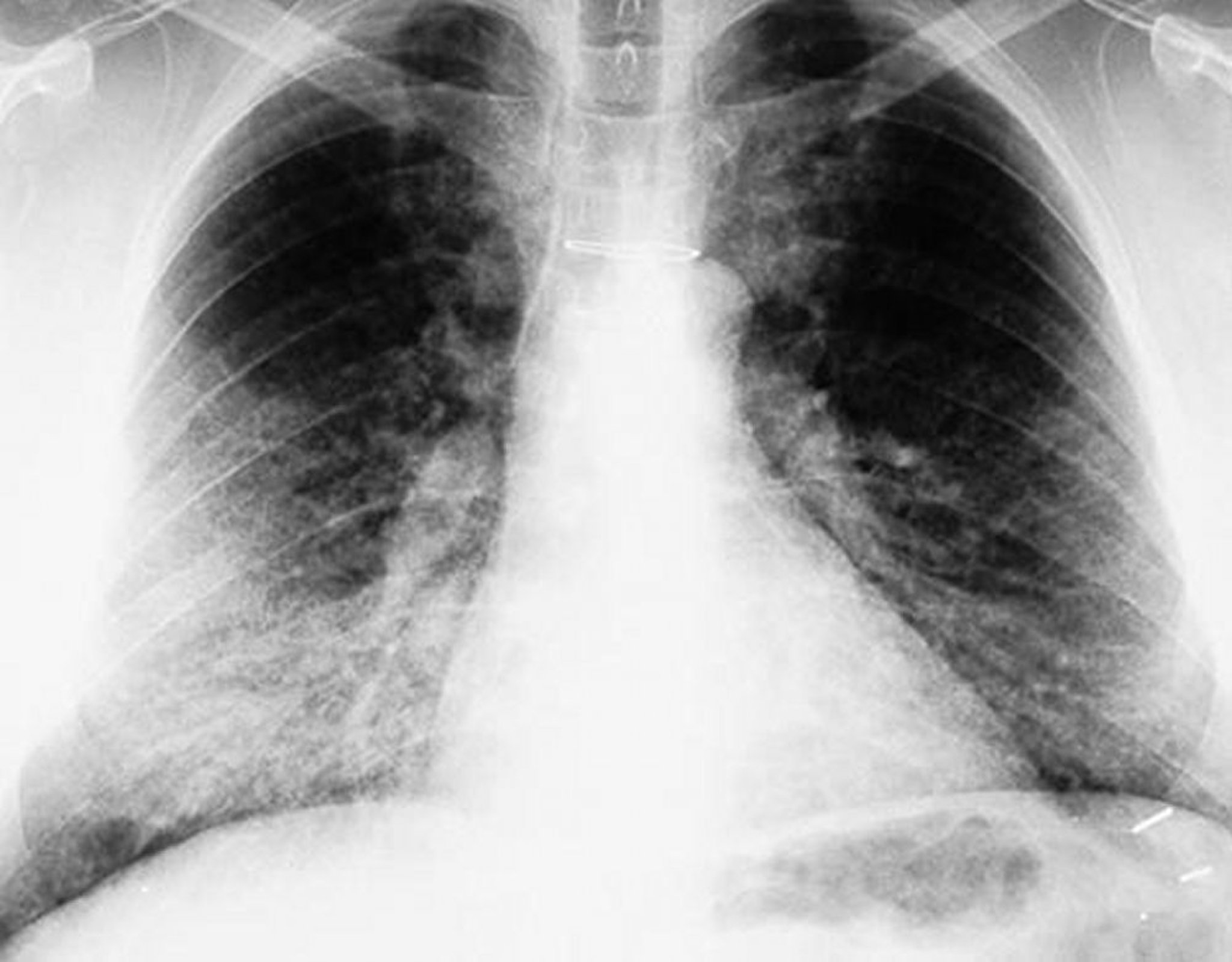
Proteinosi alveolare polmonare (RX torace)
La RX torace mostra opacità bilaterali, prevalentemente basilari.
By permission of the publisher. Da Lynch III J, Myers J. In Bone's Atlas of Pulmonary and Critical Care Medicine. Edited by J Crapo. Philadelphia, Current Medicine, 2005.
In questi argomenti
