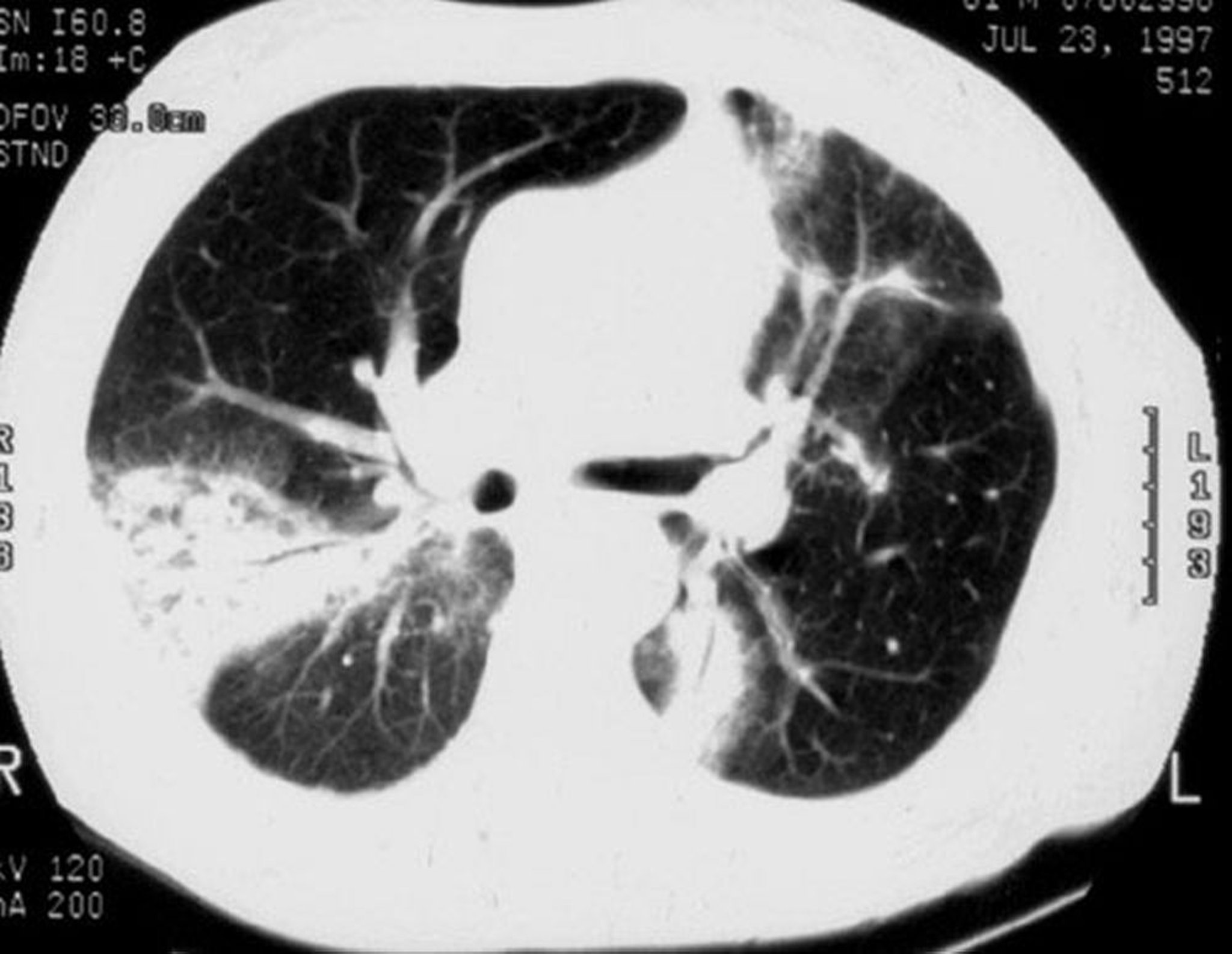
Polmonite criptogenetica organizzata
La TC ad alta risoluzione mostra addensamenti a chiazze degli spazi aerei, opacità a vetro smerigliato, piccole opacità nodulari e ispessimento e dilatazione delle pareti bronchiali (broncogramma aereo).
Image courtesy of Talmadge E. King, MD.
In questi argomenti
