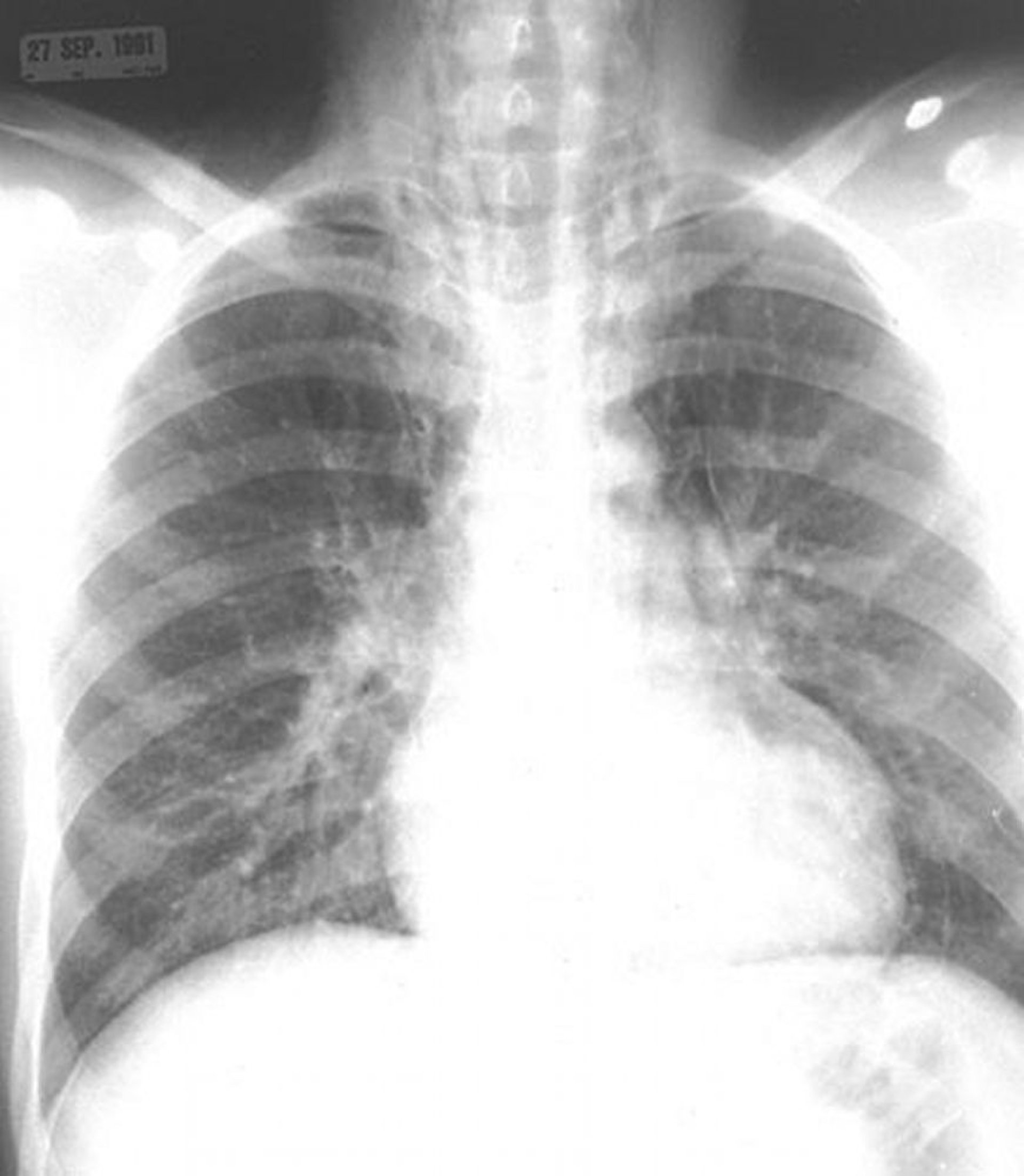
Pneumomediastino
Notare l'aria nel mediastino e nei tessuti molli del collo.
By permission of the publisher. From Berman L. In Atlas of Anesthesia: Critical Care. Edited by R Miller (series editor) and RR Kirby. Philadelphia, Current Medicine, 1997.
In questi argomenti
