Osteomielite
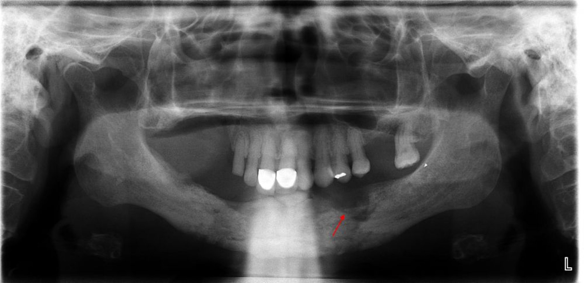
Questa RX rivela osteomielite con un evidente sequestro (osso non vitale) notato nel quadrante mandibolare sinistro (freccia).
Image courtesy of Byron (Pete) Benson, DDS, MS, Texas A&M University Baylor College of Dentistry.
In questi argomenti
