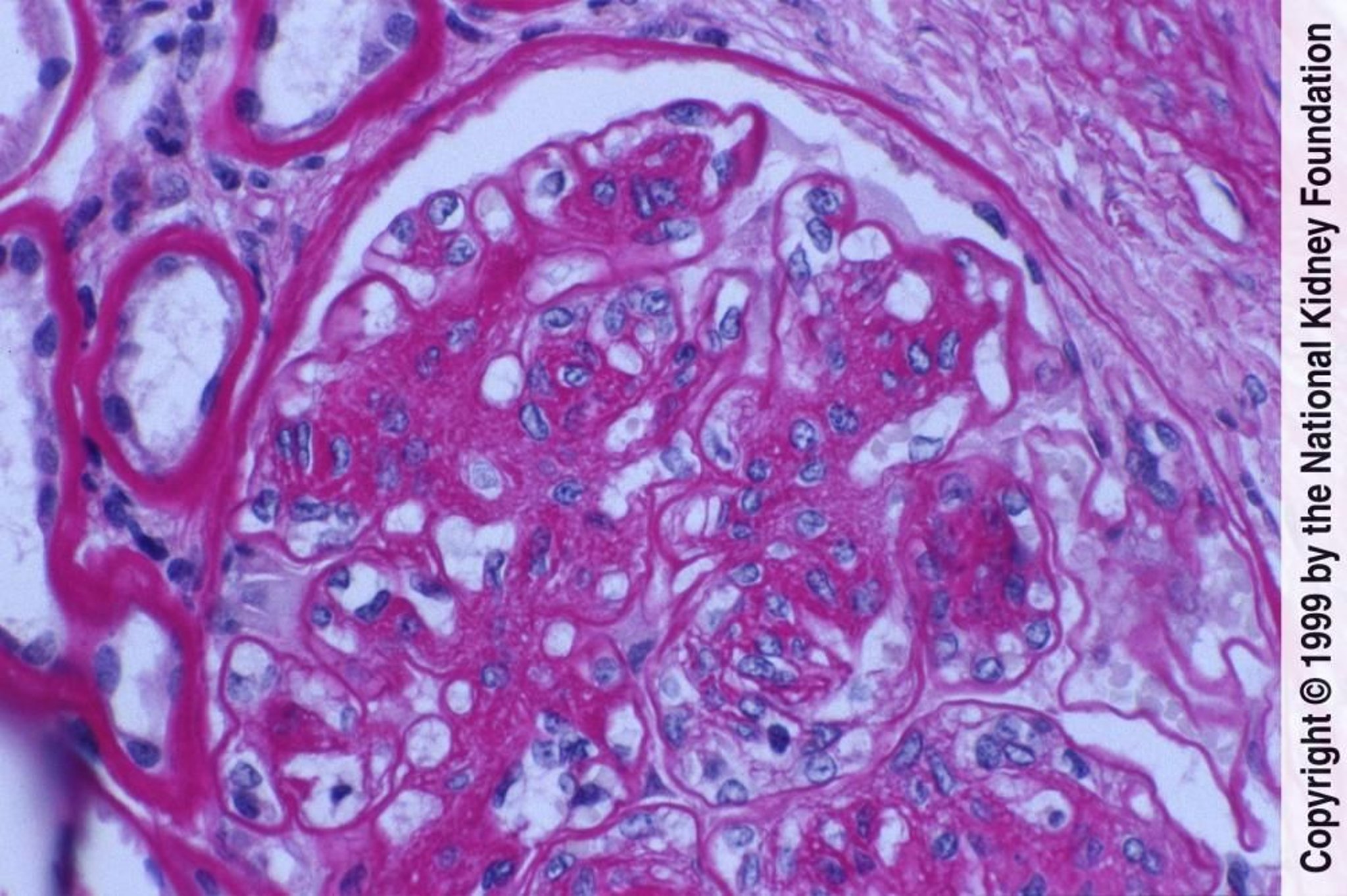
Nefropatia diabetica (proliferazione delle cellule mesangiali ed espansione della matrice)
La proliferazione delle cellule mesangiali e l'espansione della matrice con danno endoteliale si manifestano qui come ispessimento delle membrane basali glomerulari senza evidenti depositi di immunocomplessi (colorazione con acido periodico di Schiff, ×400).
Imagine fornita da Agnes Fogo, MD, and the American Journal of Kidney Diseases' Atlas of Renal Pathology (vedi www.ajkd.org).
In questi argomenti
