Nefrite lupica-proliferativa mesangiale (classe II)
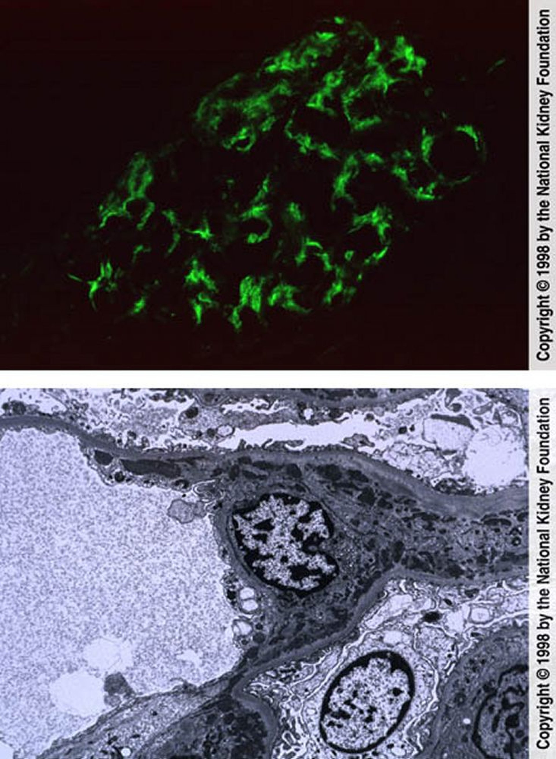
L'immagine in alto mostra la deposizione mesangiale di IgM (immunofluorescenza con anti-IgM, ingrandimento originale ×400). Nell'immagine in basso, sono visibili in microscopia elettronica a trasmissione (×8000) densi depositi di immunocomplessi mesangiali e aggregati reticolari all'interno del citoplasma delle cellule endoteliali.
Imagine fornita da Agnes Fogo, MD, and the American Journal of Kidney Diseases' Atlas of Renal Pathology (vedi www.ajkd.org).
In questi argomenti
