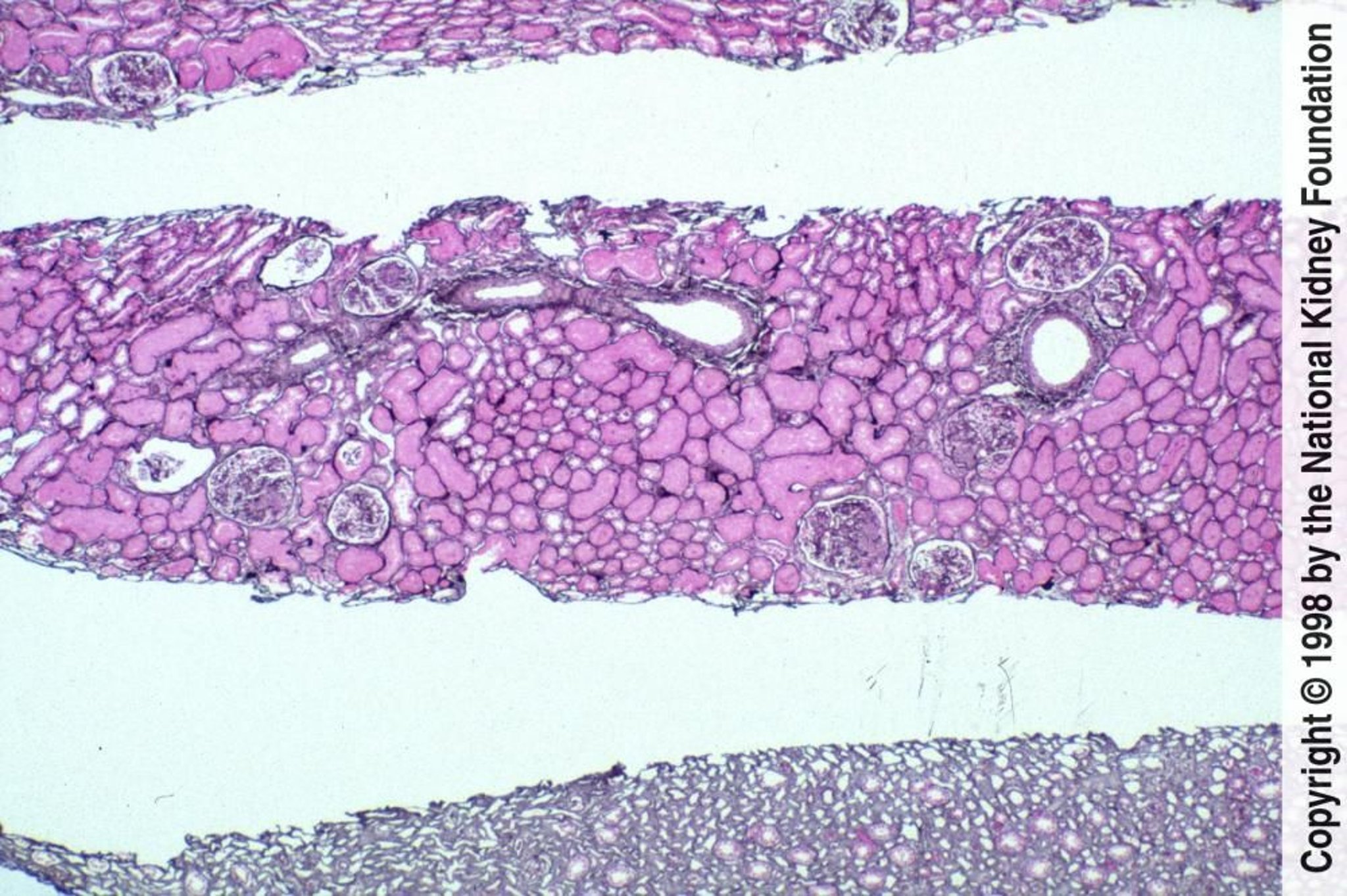
Nefrite lupica, focale (classe III)
La nefrite lupica focale è caratterizzata dalla proliferazione endocapillare causata da depositi di immunocomplessi che coinvolgono < 50% dei glomeruli in un campione bioptico.
Imagine fornita da Agnes Fogo, MD, and the American Journal of Kidney Diseases' Atlas of Renal Pathology (vedi www.ajkd.org).
In questi argomenti
