Necrosi tubulare acuta
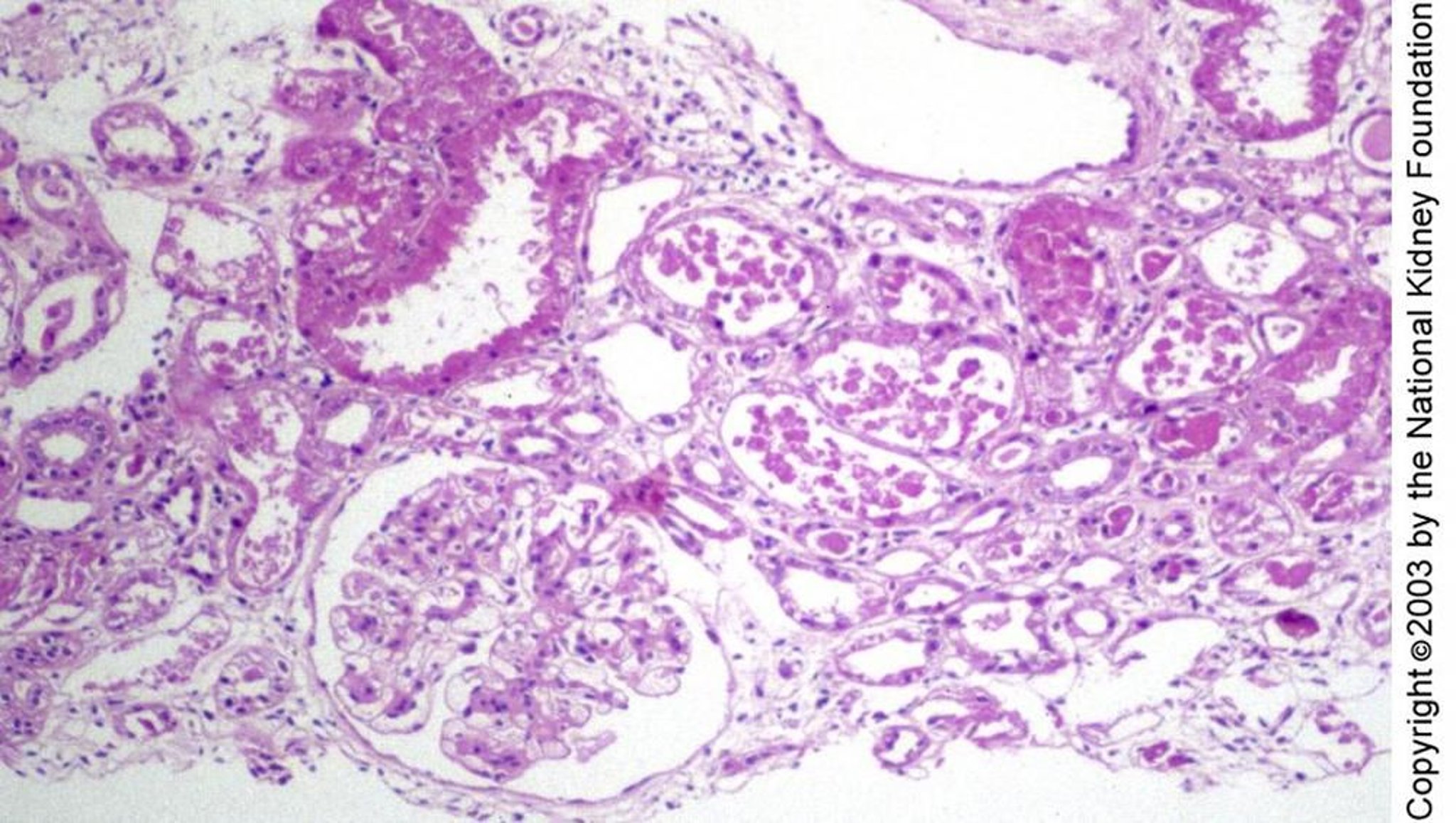
La lesione tubulare nella necrosi tubulare acuta può manifestarsi istologicamente come rigenerazione dell'epitelio tubulare appiattito senza necrosi, come visto a destra del glomerulo, rigonfiamento e degenerazione cellulare individuale, come in alto a sinistra, o come necrosi franca, come nell'immagine nel mezzo (colorazione con acido periodico di Schiff, ×100).
Imagine fornita da Agnes Fogo, MD, and the American Journal of Kidney Diseases' Atlas of Renal Pathology (vedi www.ajkd.org).
In questi argomenti
