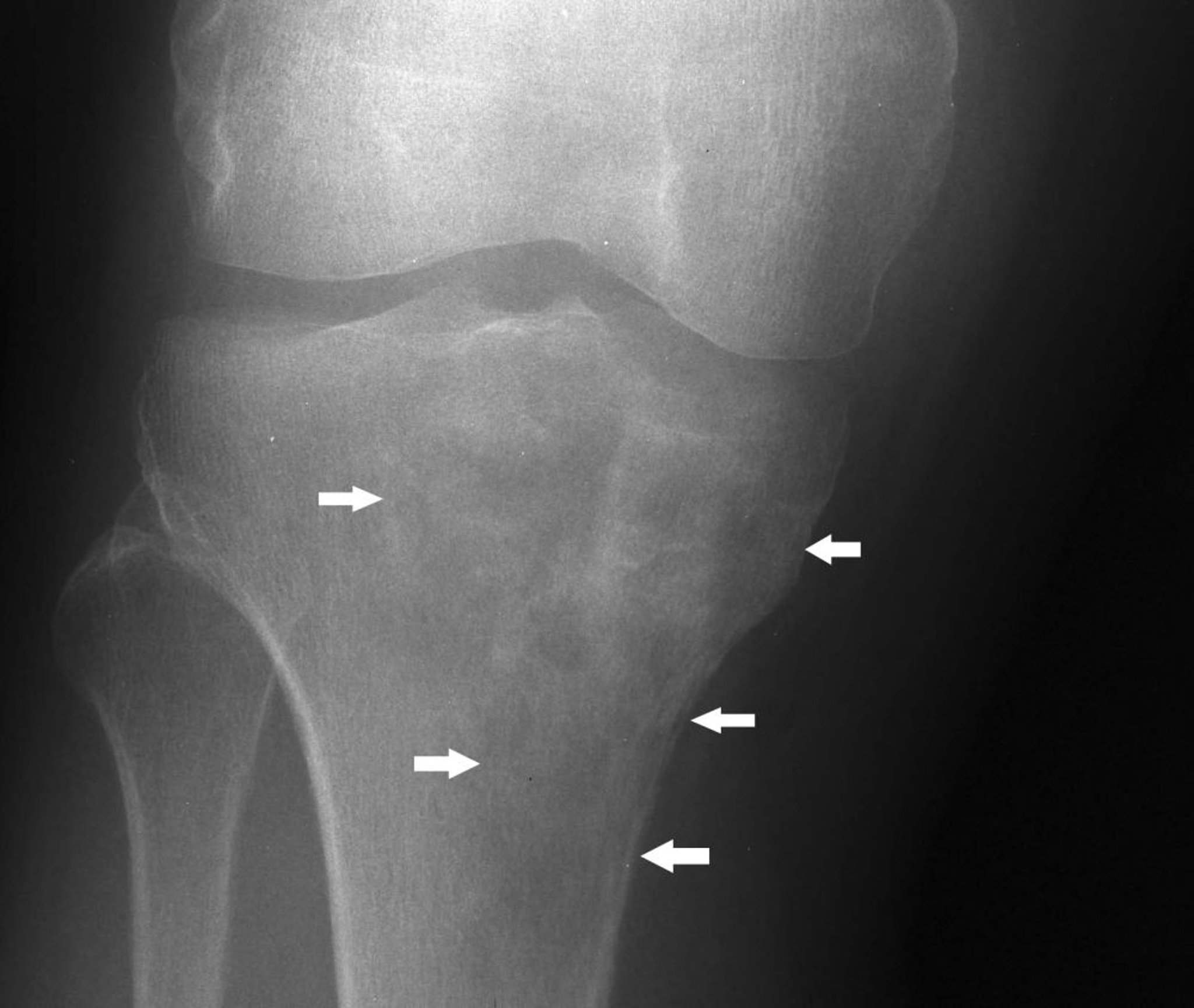
Linfoma osseo
Questa radiografia del ginocchio mostra un linfoma nella tibia prossimale con un aspetto misto litico e sclerotico sotto il condilo tibiale mediale (frecce).
Image courtesy of Michael J. Joyce, MD, and Hakan Ilaslan, MD.
In questi argomenti
