Istiocitosi a cellule di Langerhans (TC dell'encefalo)
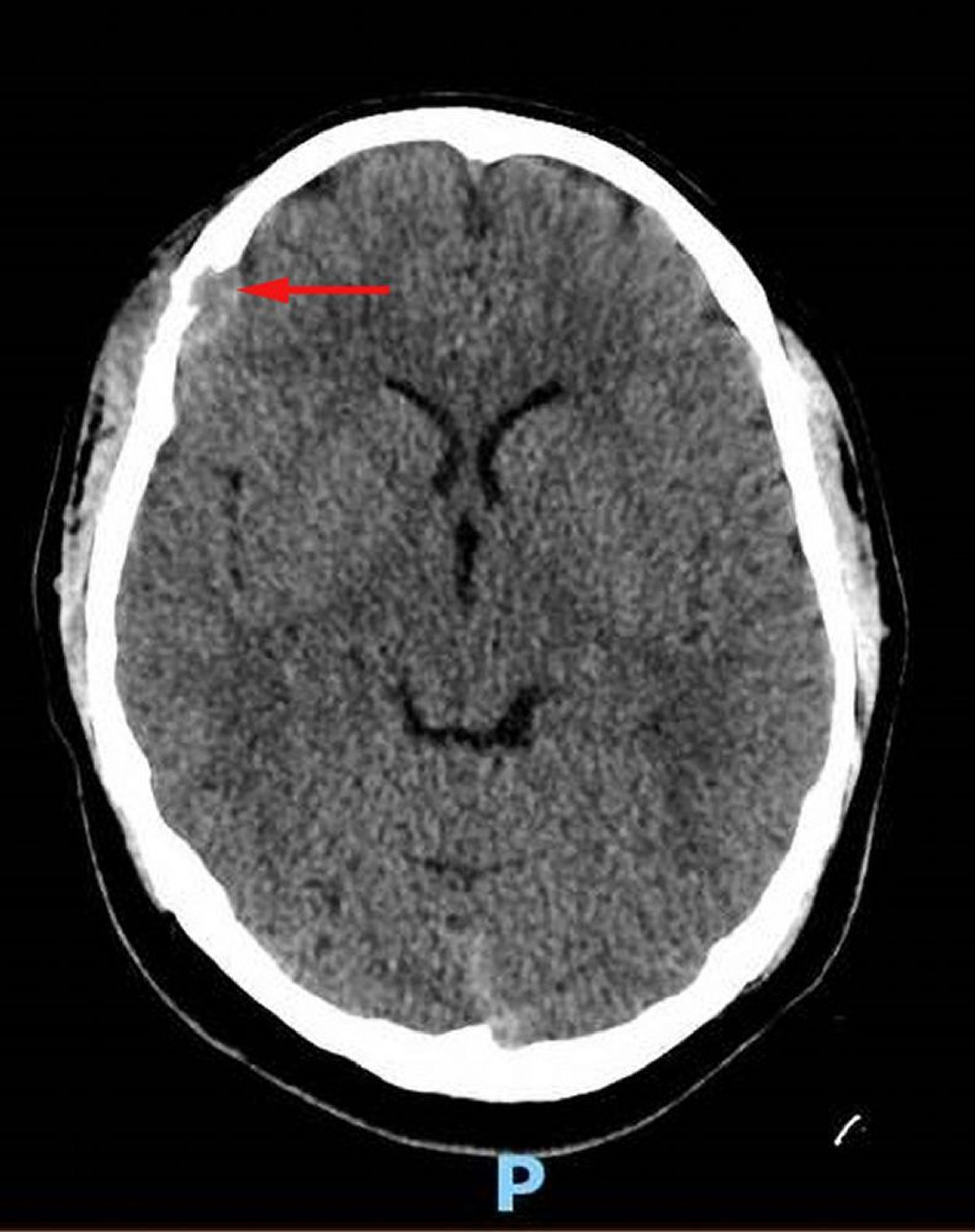
Questa immagine mostra una lesione dei tessuti molli nell'osso frontale destro con associata distruzione ossea ed estensione intracranica dei tessuti molli nello spazio durale (freccia rossa). È presente un tessuto molle asimmetrico sovrastante il cuoio capelluto. La biopsia era diagnostica per l'istiocitosi a cellule di Langerhans.
Image courtesy of Carolyn Fein Levy, MD, and Jeffrey M. Lipton, MD, PhD.
In questi argomenti
