Infezione congenita da cytomegalovirus
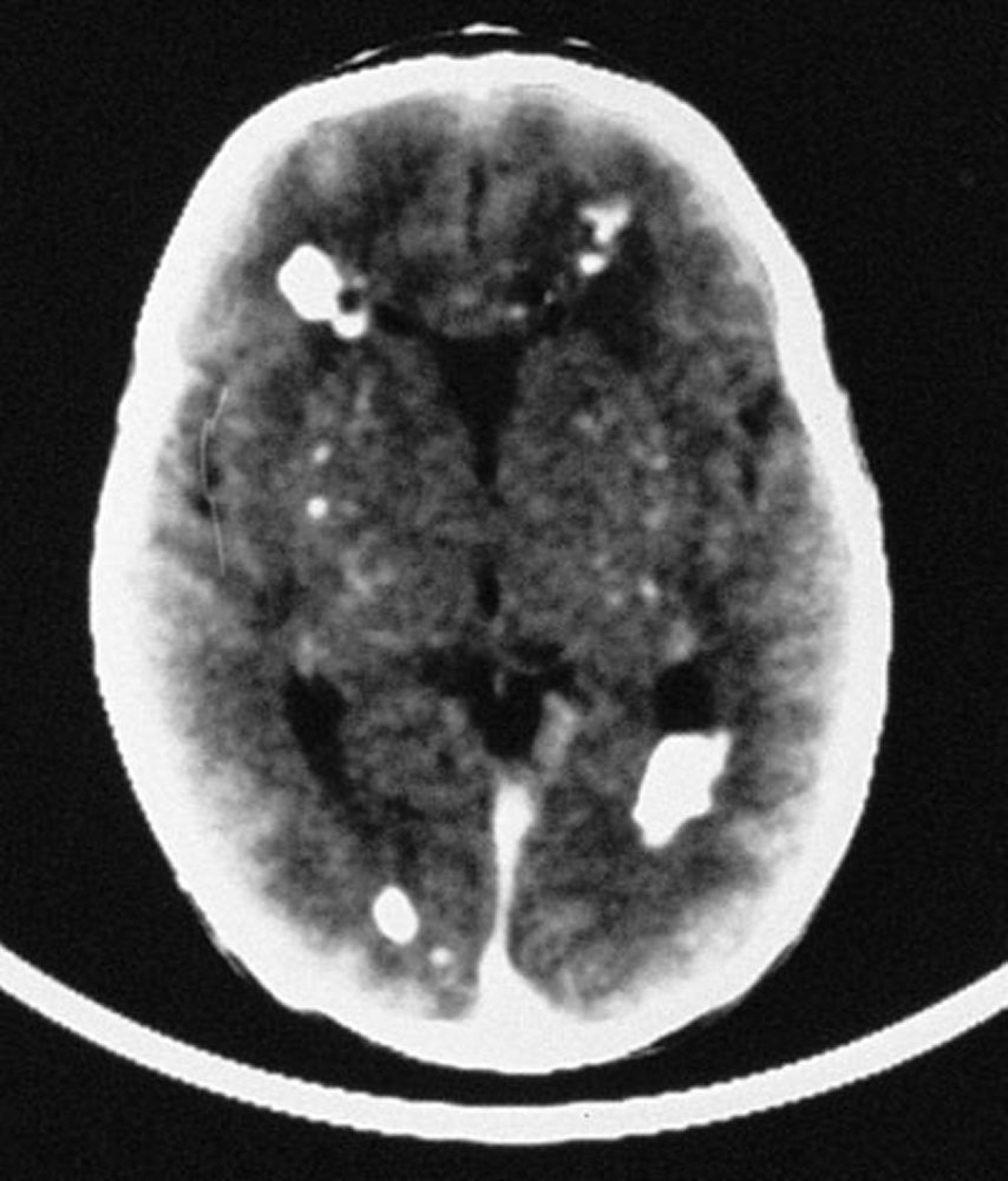
In questa immagine, la TC rivela molteplici calcificazioni endocraniche, per lo più di distribuzione periventricolare, ma che coinvolgono anche le strutture vascolari del cervello.
By permission of the publisher. From Demmler G: Congenital and perinatal infections. In Atlas of Infectious Diseases: Pediatric Infectious Diseases. Edited by CM Wilfert. Philadelphia, Current Medicine, 1998.
In questi argomenti
