Infarti lacunari
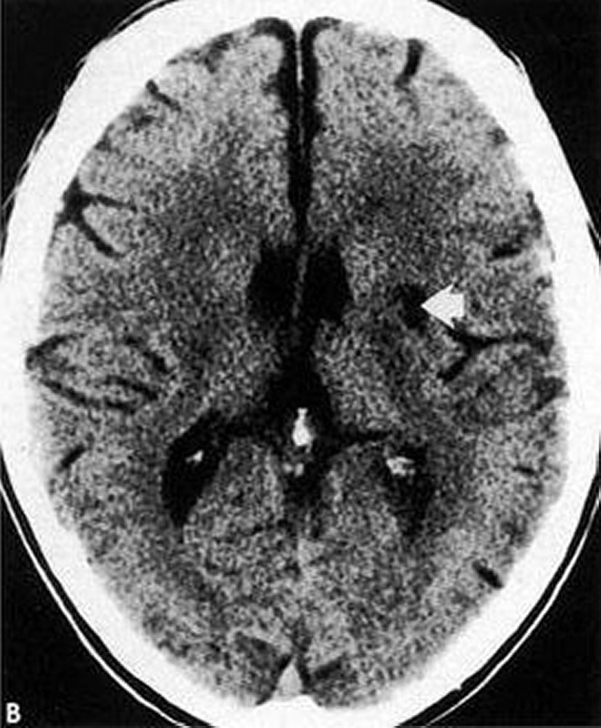
Questa scansione TC mostra un infarto lacunare (freccia) a bassa densità e ben definito all'interno dei gangli della base.
By permission of the publisher. From Geremia G, Greenlee W. In Atlas of Cerebrovascular Disease. Edited by PB Gorelick and MA Sloan. Philadelphia, Current Medicine, 1996.
In questi argomenti
