Ictus ischemico nell'arteria cerebrale media sinistra (TC)
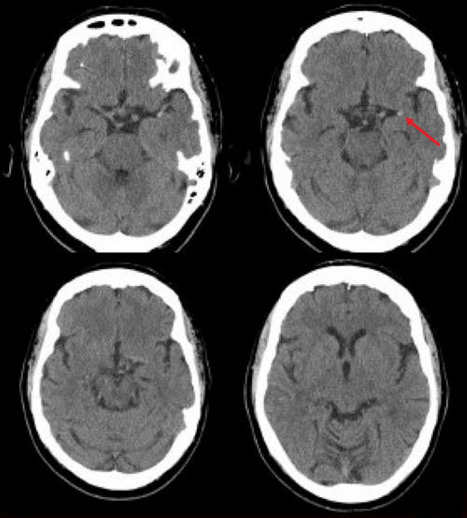
Questa scansione TC cerebrale senza contrasto mostra un'arteria cerebrale media sinistra iperdensa. Questo risultato indica un coagulo focale nell'arteria cerebrale media sinistra (freccia).
Image courtesy of Ji Y. Chong, MD.
In questi argomenti
