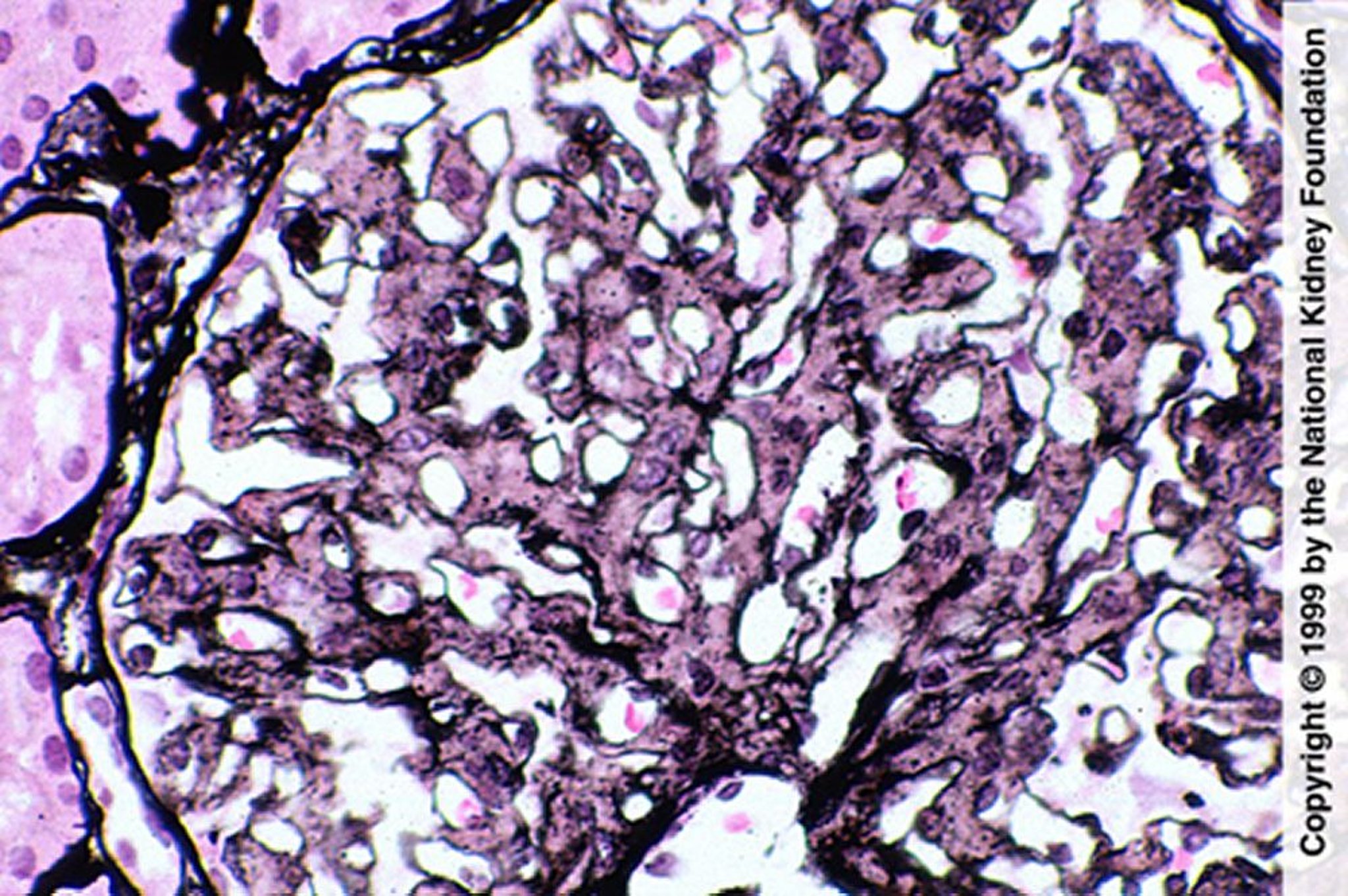
Glomerulopatia fibrillare (proliferazione mesangiale)
La proliferazione mesangiale è indicativa di glomerulopatia fibrillare; tuttavia, la diagnosi richiede una colorazione rosso Congo negativa, colorazione delle IgG mediante immunofluorescenza e dimostrazione delle fibrille alla microscopia elettronica (colorazione all'argento di Jones, ×400).
Imagine fornita da Agnes Fogo, MD, and the American Journal of Kidney Diseases' Atlas of Renal Pathology (vedi www.ajkd.org).
In questi argomenti
