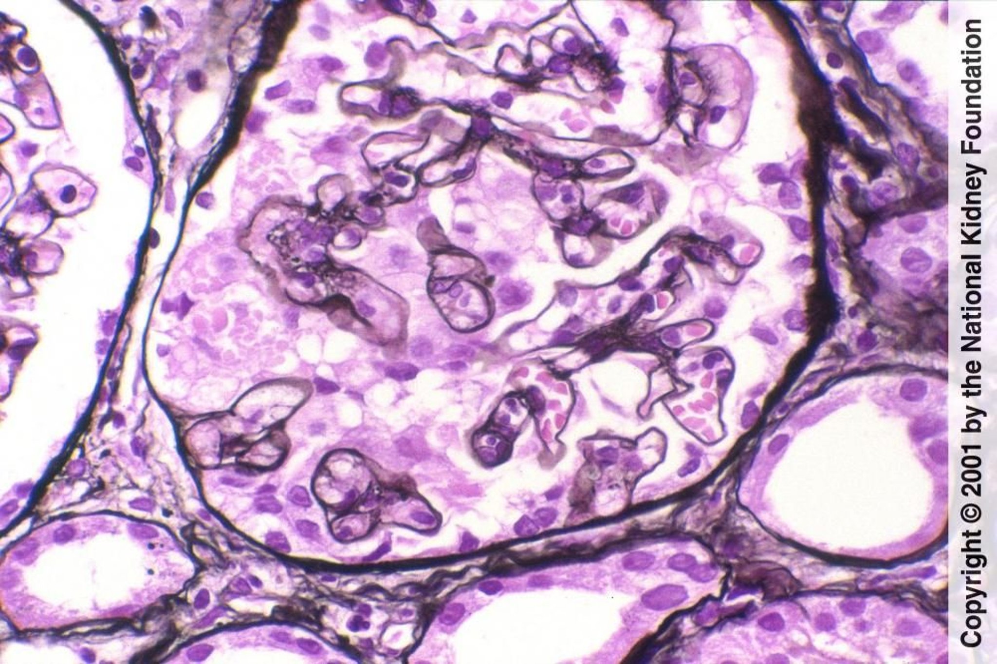
Glomerulopatia collassante
Il raggrinzimento o il collasso dei vasi glomerulari, accompagnati qui da dilatazione microcistica dei tubuli, possono verificarsi con glomerulosclerosi focale segmentaria o nefropatia associata ad HIV ed è un marker di prognosi sfavorevole (colorazione all'argento di Jones, ×400).
Imagine fornita da Agnes Fogo, MD, and the American Journal of Kidney Diseases' Atlas of Renal Pathology (vedi www.ajkd.org).
In questi argomenti
