Gengiviti
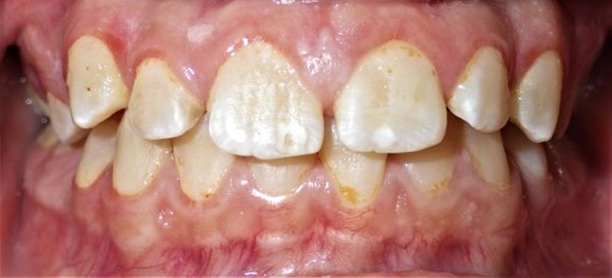
Questa immagine della gengivite in una persona giovane mostra l'infiammazione della gengiva marginale (quelle più vicine ai denti), con gonfiore delle papille interdentali e infiammazione osservata lungo i canini superiori.
Image courtesy of James T. Ubertalli, DMD.
In questi argomenti
