honeypot link
skip to main content
Professionisti
Pazienti
Manuale Msd
Versione per i professionisti
ARGOMENTI DI MEDICINA
RISORSE
COMMENTI
PROCEDURE
QUIZ
INFORMAZIONI
ARGOMENTI DI MEDICINA
RISORSE
<
Immagini
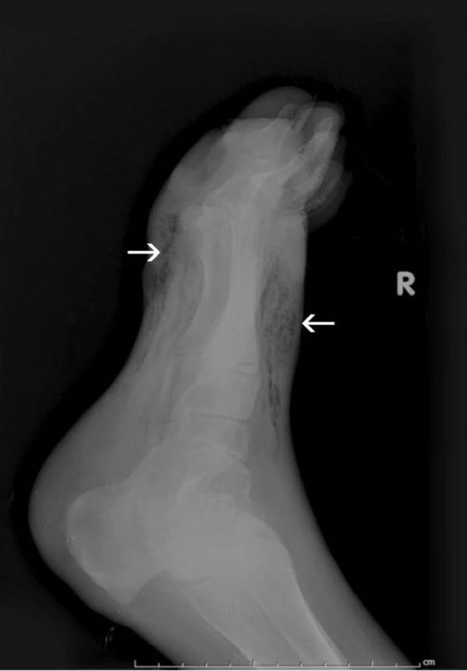
Gangrena del piede (RX)
Questa RX mostra gas nei tessuti molli del piede (frecce).
© Springer Science+Business Media
In questi argomenti
Infezioni dei tessuti molli da clostridi
>