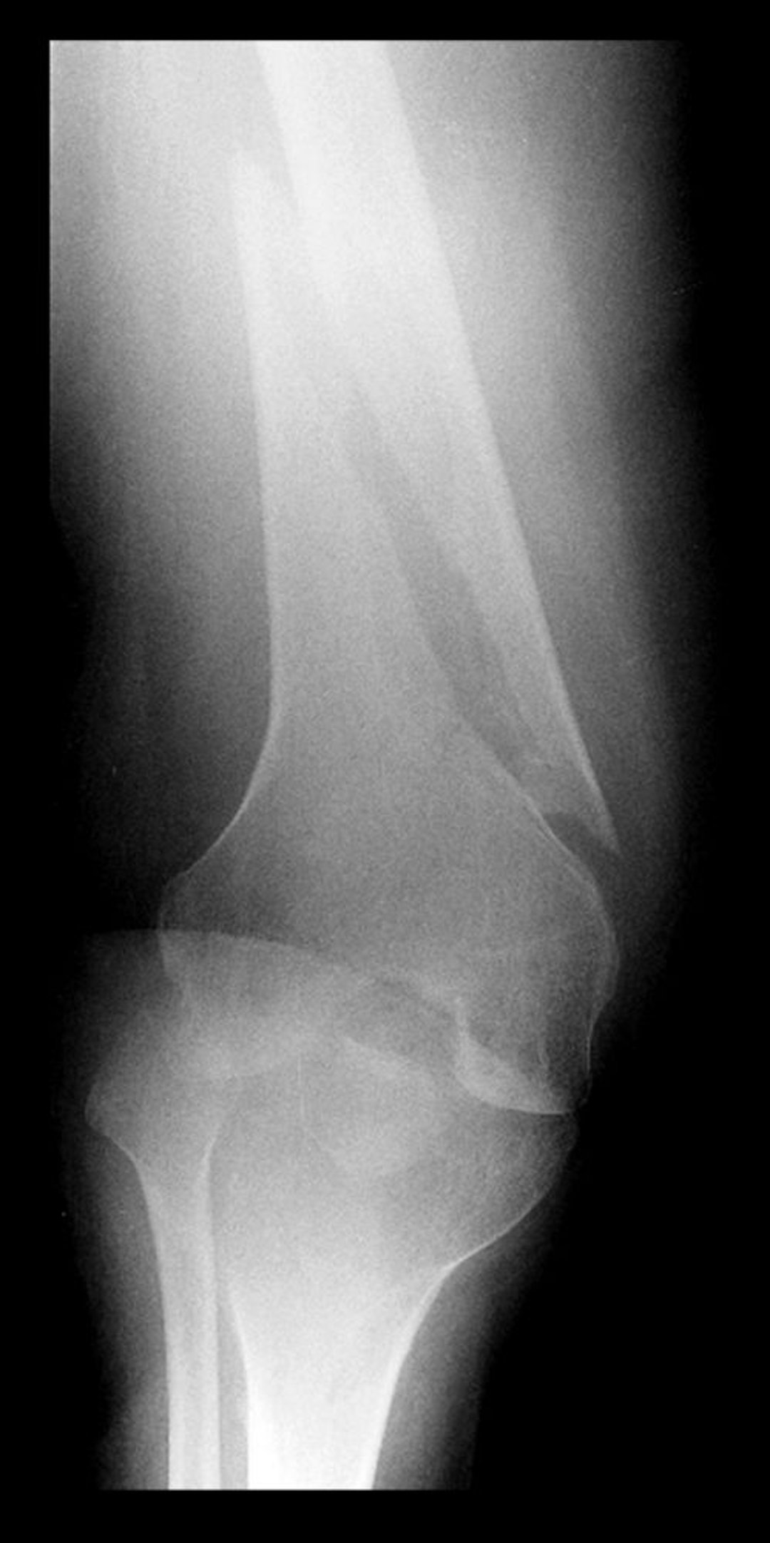
Frattura spirale del femore distale
Questa radiografia del femore distale mostra una radiotrasparenza con una componente parallela all'asse longitudinale dell'osso, indicativa una frattura spirale.
LIVING ART ENTERPRISES/SCIENCE PHOTO LIBRARY
In questi argomenti
