Frattura mediale della diafisi femorale (1)
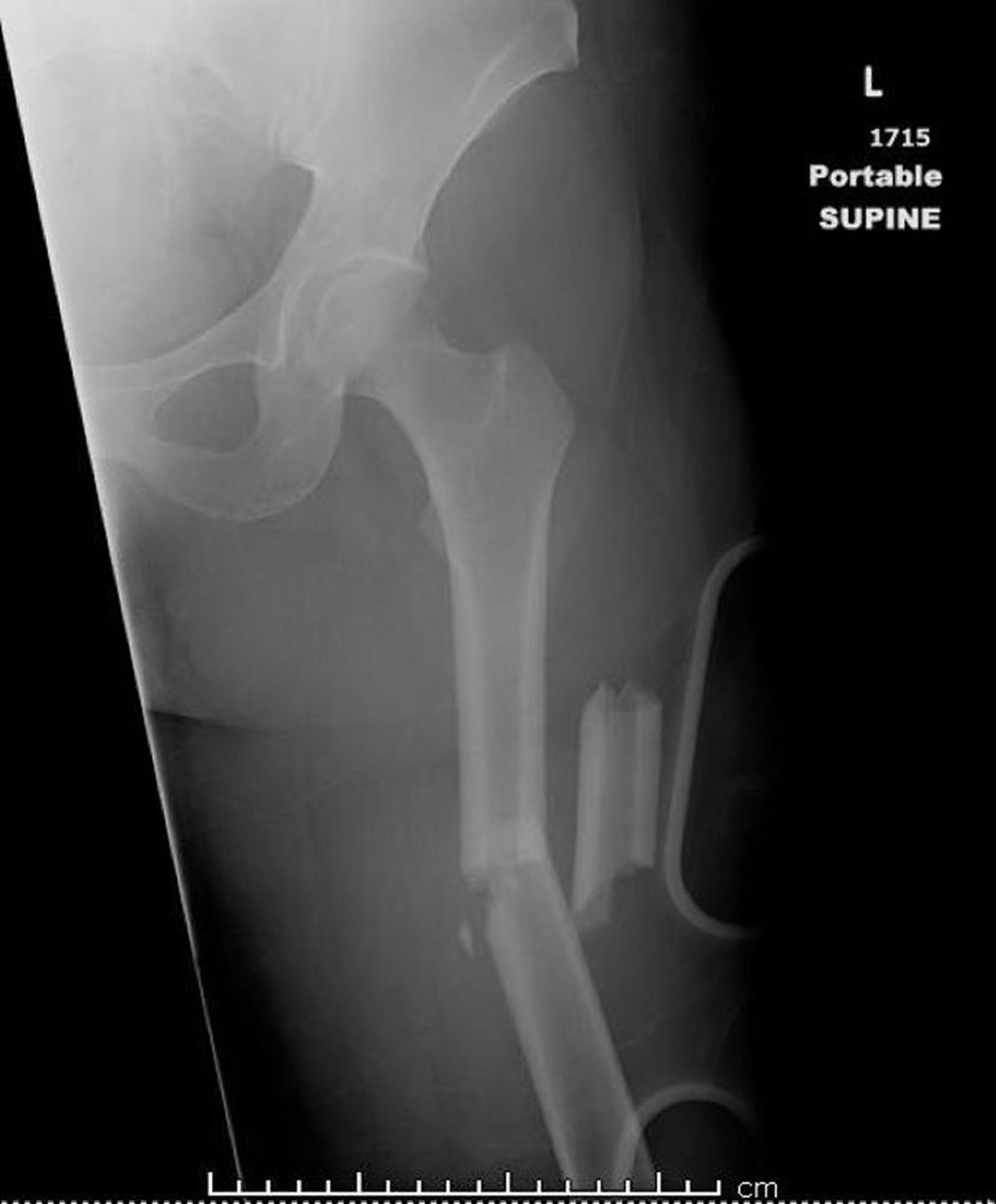
Questa immagine mostra una frattura comminuta, angolata e accorciata mediale della diafisi femorale.
Image courtesy of Danielle Campagne, MD.
In questi argomenti
Questa immagine mostra una frattura comminuta, angolata e accorciata mediale della diafisi femorale.
Image courtesy of Danielle Campagne, MD.