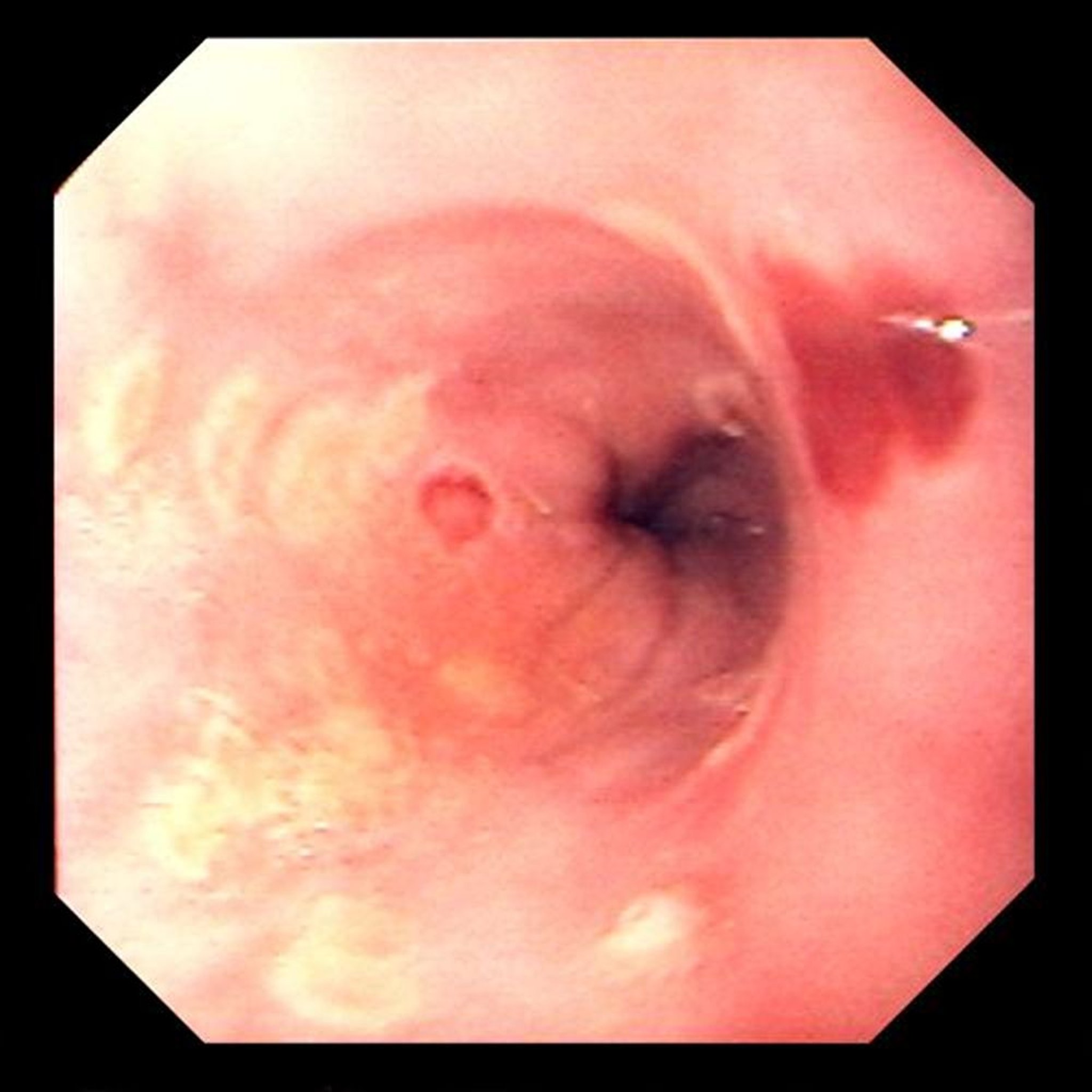
Esofagite da herpes simplex
Le ulcerazioni focali sono tipiche dell'esofagite da virus dell'herpes simplex.
Image provided by David M. Martin, MD.
In questi argomenti
Le ulcerazioni focali sono tipiche dell'esofagite da virus dell'herpes simplex.
Image provided by David M. Martin, MD.