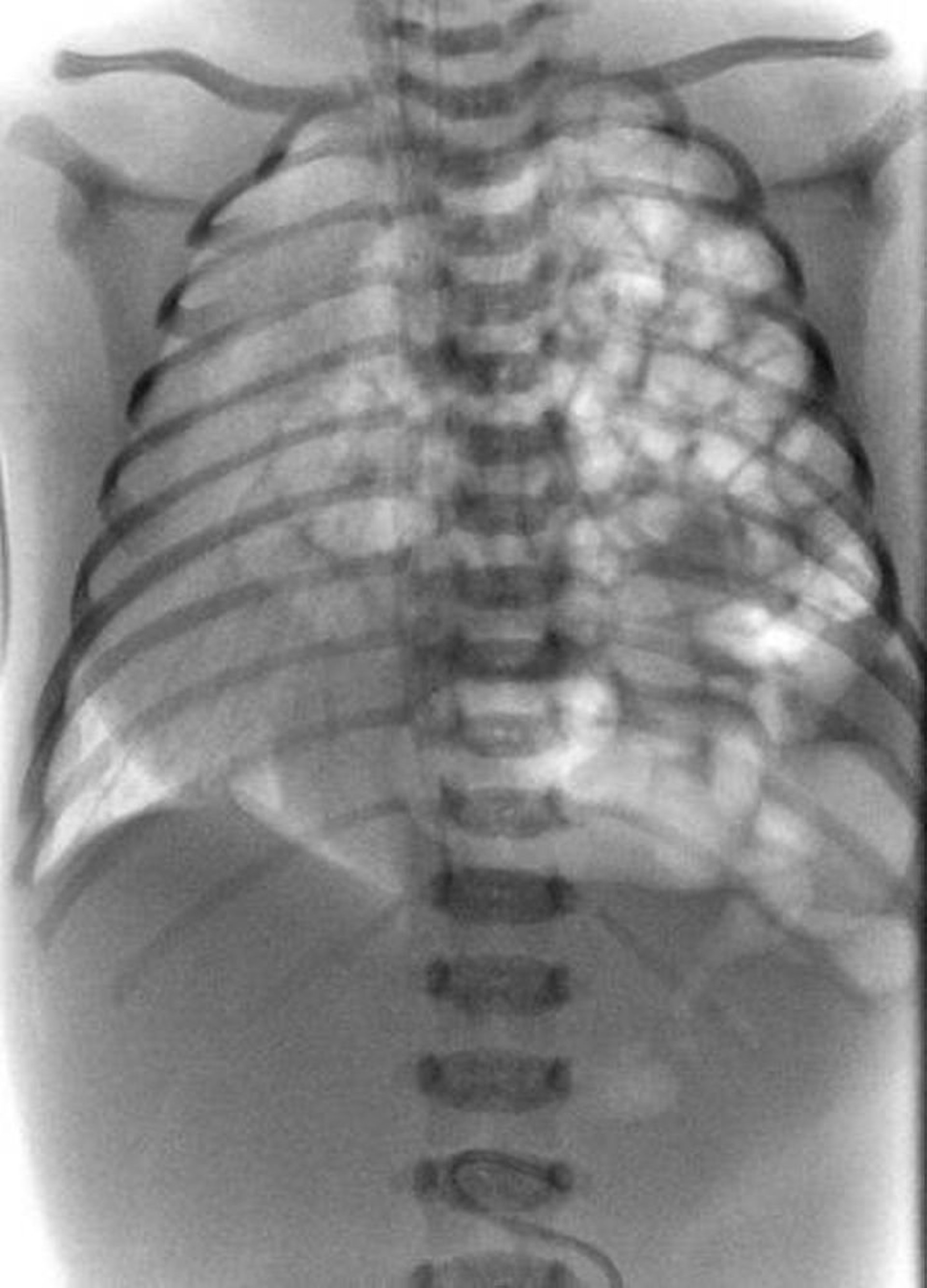
Ernia diaframmatica
Questa RX mostra un'ernia diaframmatica congenita in un neonato. L'intestino (il groviglio bianco) sporge nel torace a sinistra (lato destro della radiografia).
DU CANE MEDICAL IMAGING LTD/SCIENCE PHOTO LIBRARY
In questi argomenti
