honeypot link
skip to main content
Professionisti
Pazienti
Manuale Msd
Versione per i professionisti
ARGOMENTI DI MEDICINA
RISORSE
COMMENTI
PROCEDURE
QUIZ
INFORMAZIONI
ARGOMENTI DI MEDICINA
RISORSE
<
Immagini
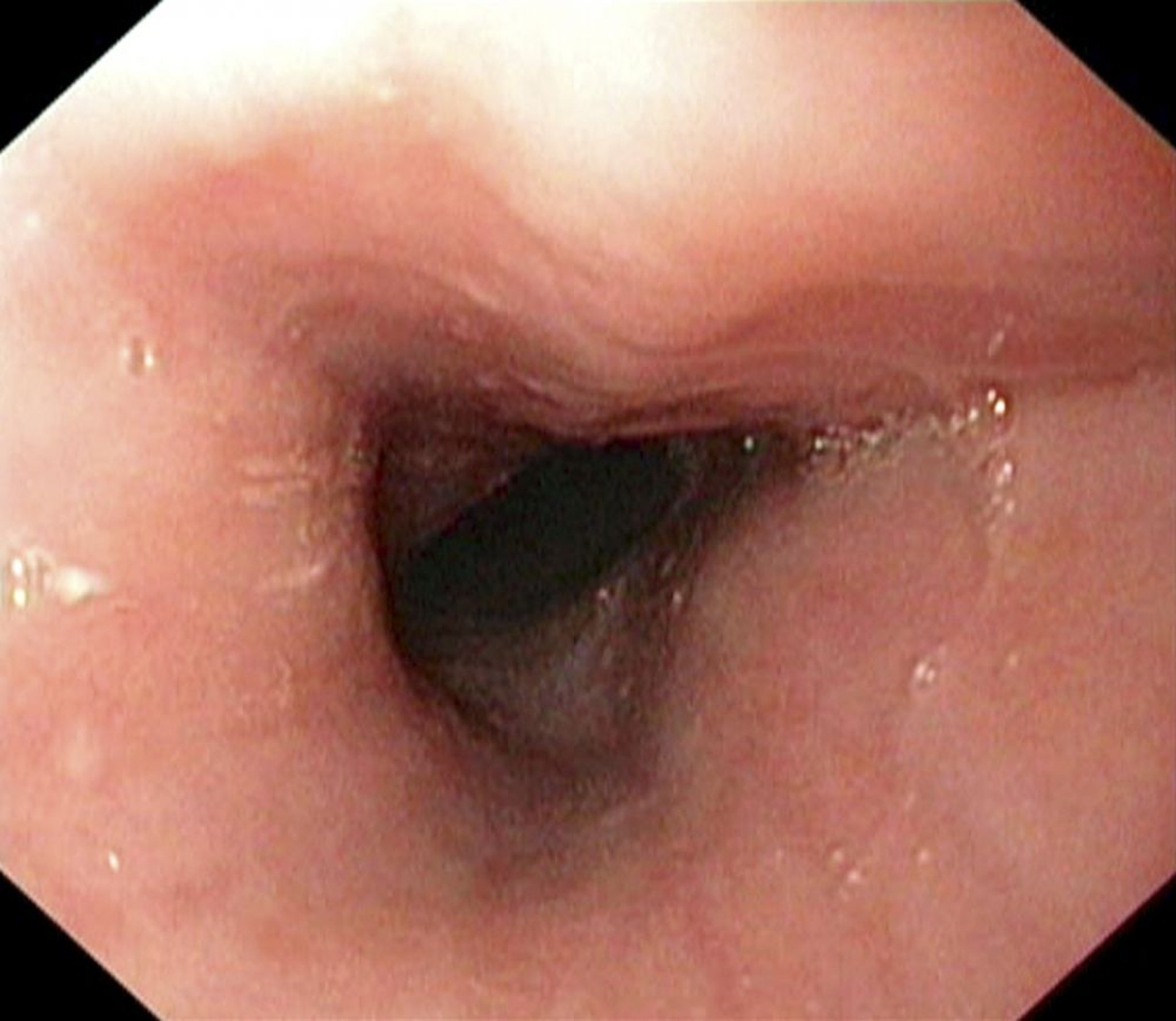
Endoscopia (esofago)
Questa foto mostra una visione endoscopica di un esofago normale.
GASTROLAB/SCIENCE PHOTO LIBRARY
In questi argomenti
Endoscopia
>