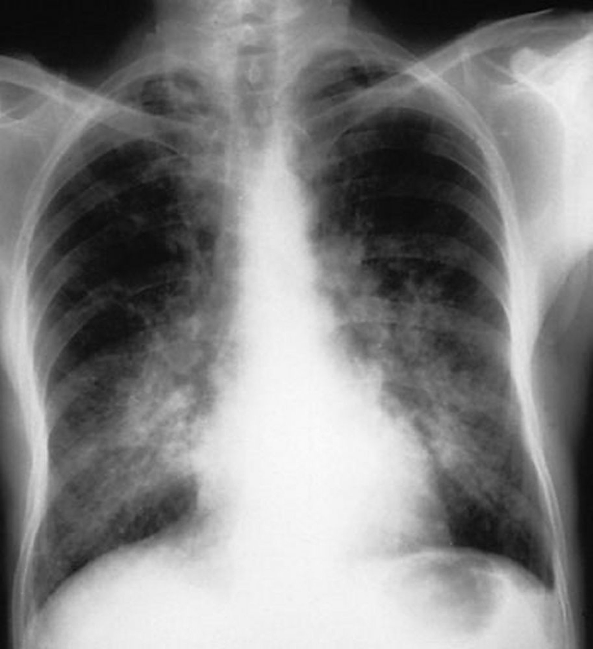
Emorragia alveolare (sindrome di Goodpasture)
Opacità alveolari bilaterali in un paziente con emorragia alveolare causata dalla sindrome di Goodpasture.
By permission of the publisher. From Cohen A, Glassock R. In Atlas of Diseases of the Kidney: Glomerulonephritis and Vasculitis. Edited by R Schrier (series editor), RJ Glassock, and AH Cohen. Philadelphia, Current Medicine, 1999.
In questi argomenti
