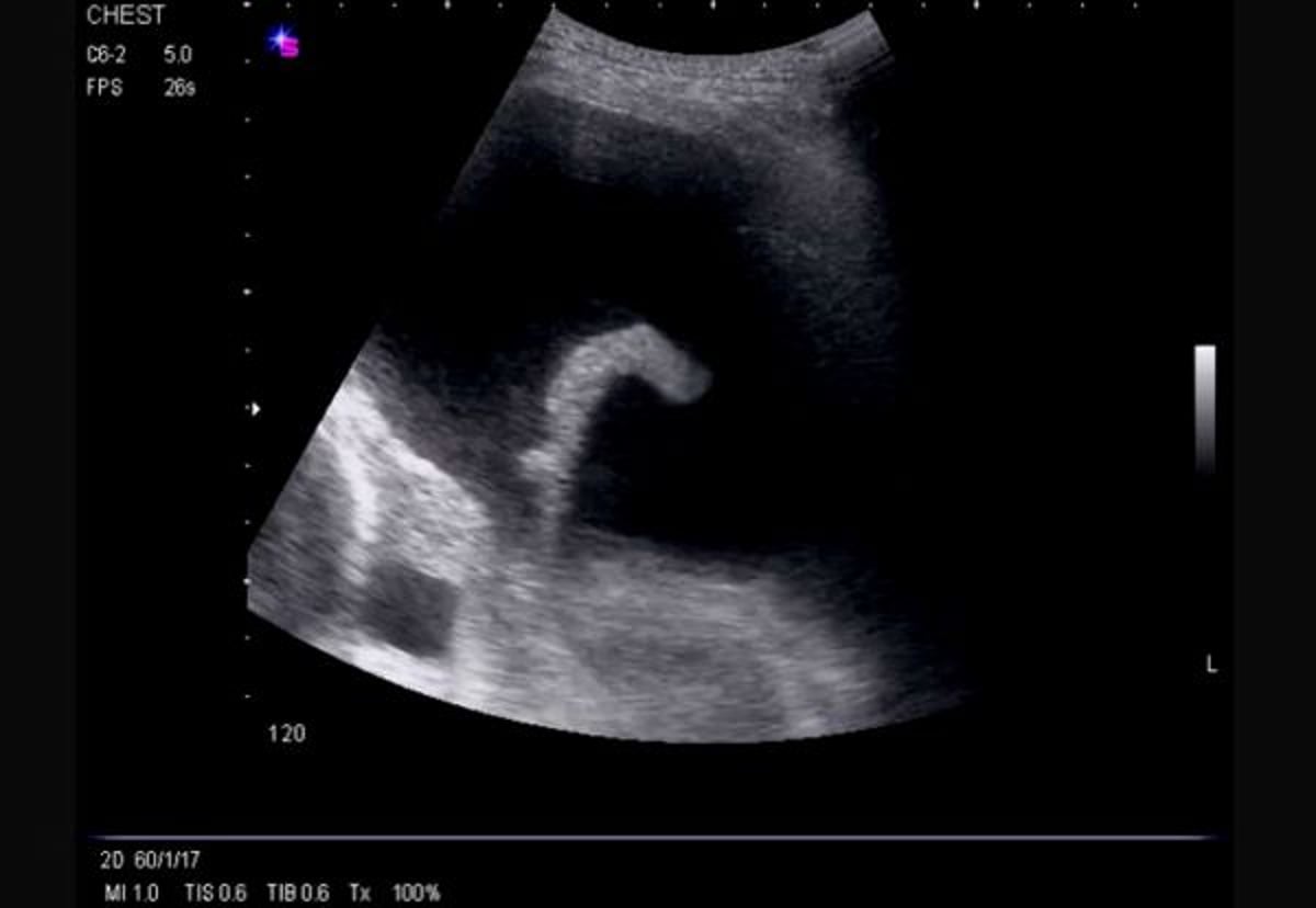
Ecografia toracica di profilo (sinistra)
Questa ecografia mostra un ampio versamento libero sul lato sinistro che causa un'atelettasia compressiva del lobo inferiore sinistro e rivela il ventricolo sinistro.
Image courtesy of Najib M. Rahman, BMBCh MA (oxon) DPhil.
In questi argomenti
