Ecografia di una massa ovarica benigna
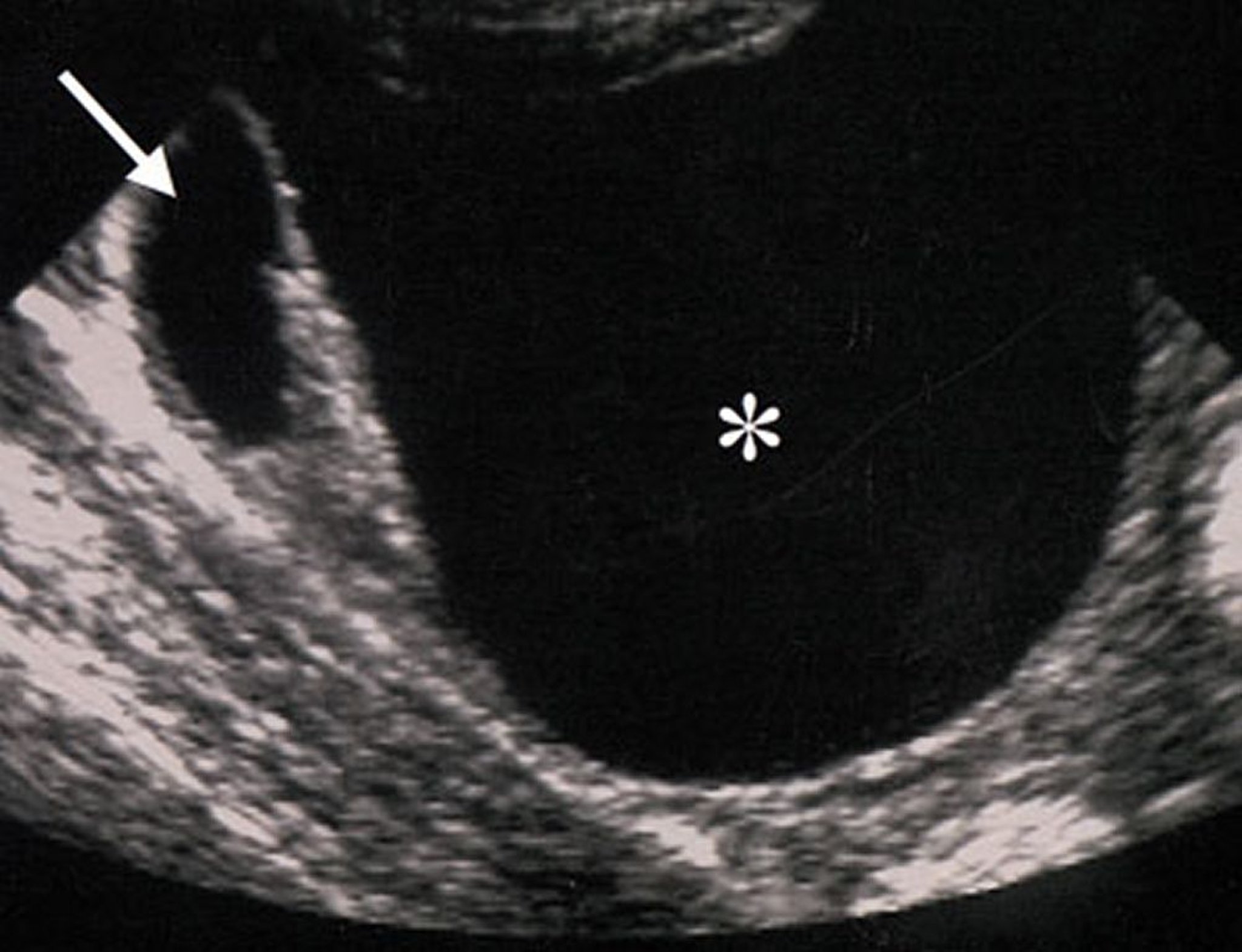
Le caratteristiche ecografiche di questa massa ovarica (indicate da un asterisco) suggeriscono che la massa sia benigna. La massa è anecogena (suggerente assenza di componenti solidi), regolare, ben circoscritta e senza ispessimento o escrescenza della parete.
By permission of the publisher. From Hricak H, Coakley F, Bergman A. In Atlas of Cancer. Edited by M Markman, RR Barakat, and WJ Hoskins. Philadelphia, Current Medicine, 2002.
In questi argomenti
