Distorsione alla caviglia con instabilità
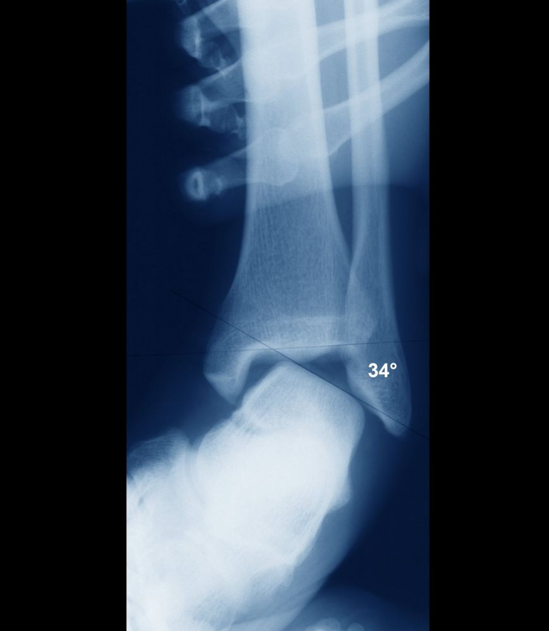
Se la caviglia è stabile, le superfici intra-articolari dell'astragalo e della tibia devono essere parallele. Qui, sono ampiamente disallineati, indicando una grave instabilità articolare. L'instabilità sarebbe stata chiaramente evidente clinicamente e l'instabilità è normalmente valutata clinicamente senza bisogno di raggi x.
ZEPHYR/SCIENCE PHOTO LIBRARY
In questi argomenti
