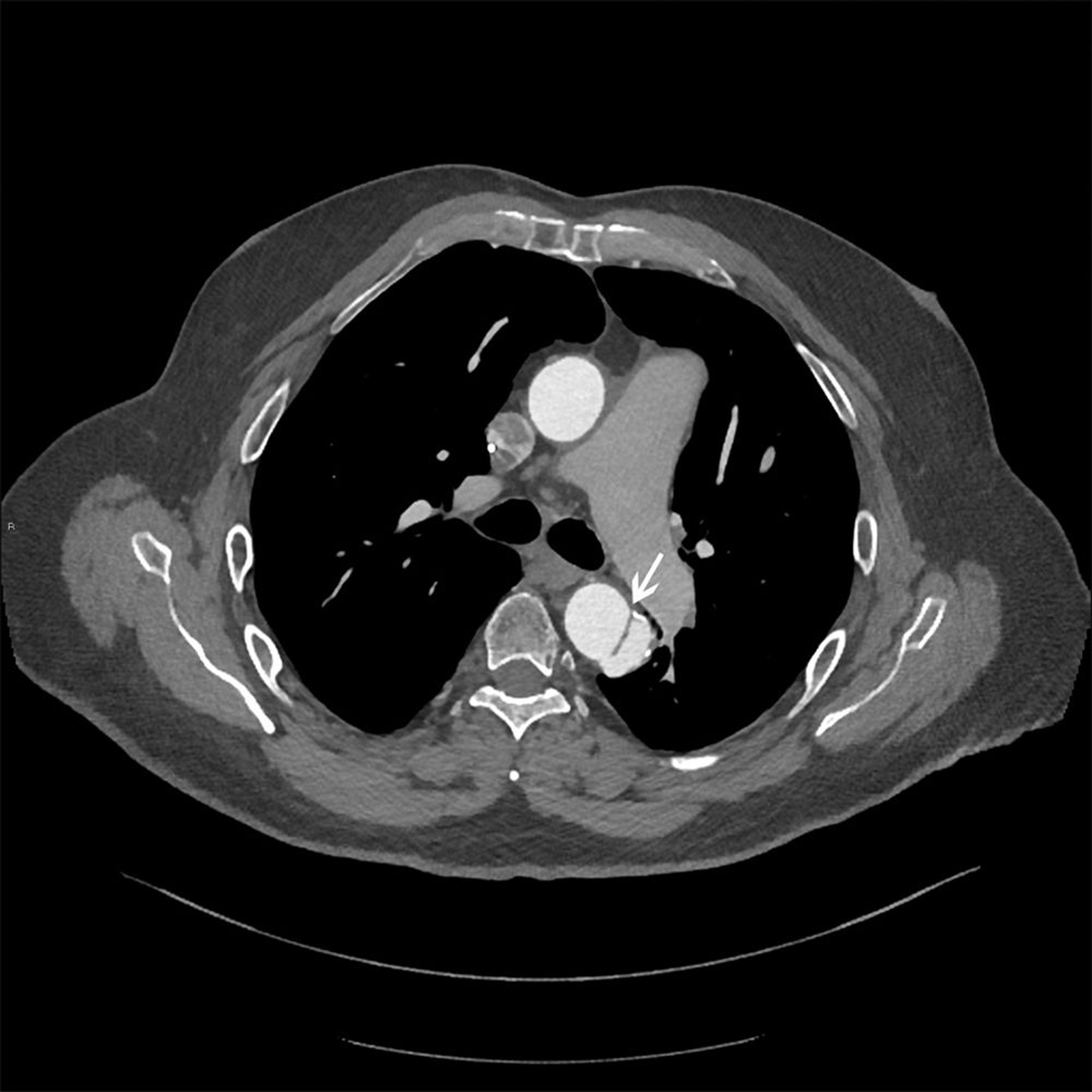
Dissezione dell'aorta toracica (classificazione di Stanford di tipo B)
Immagine assiale del lembo di dissezione (freccia bianca) nell'aorta discendente del torace.
© 2017 Elliot K. Fishman, MD.
In questi argomenti
Immagine assiale del lembo di dissezione (freccia bianca) nell'aorta discendente del torace.
© 2017 Elliot K. Fishman, MD.