Cuscinetto adiposo posteriore
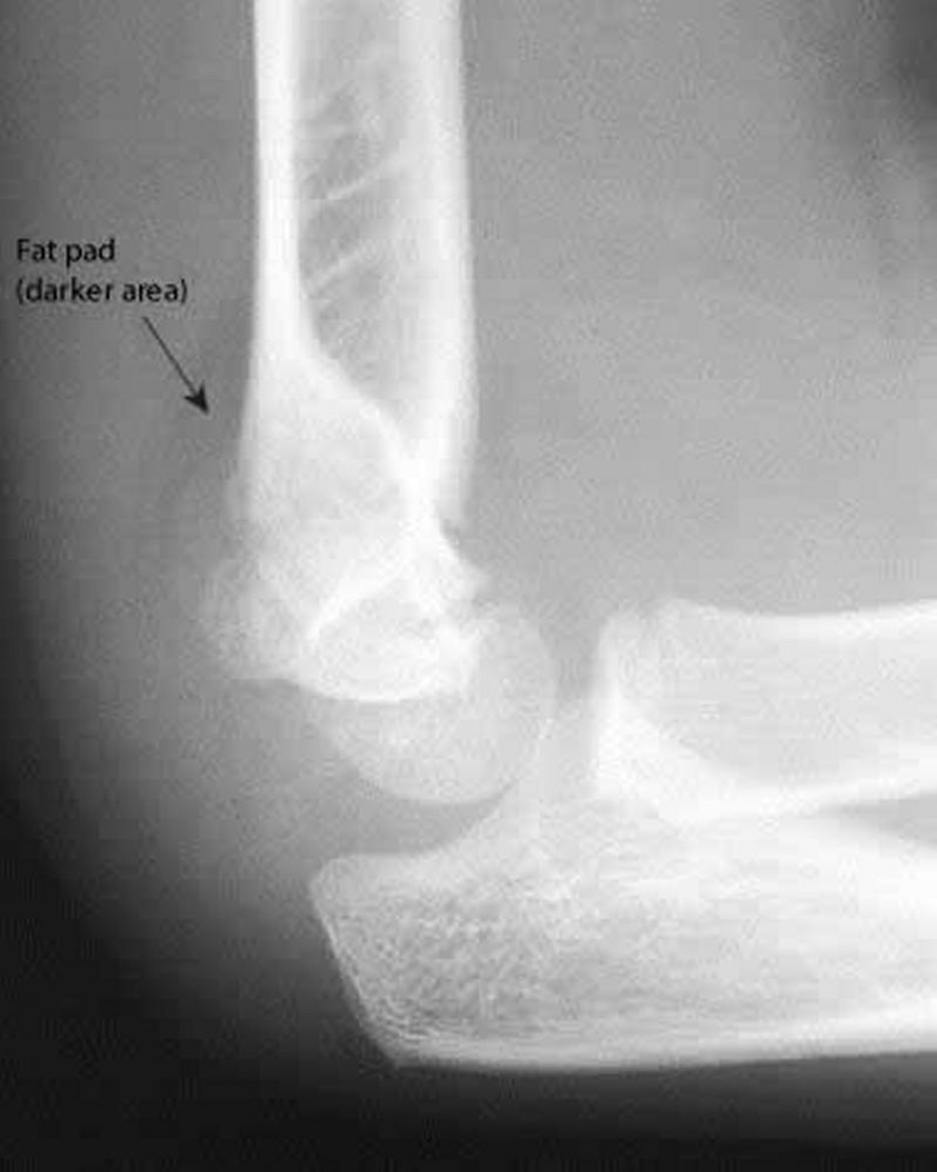
Un cuscinetto adiposo posteriore è sempre anormale. Anche in questa RX, la linea omerale anteriore non interseca nel mezzo il capitello radiale.
Image courtesy of Danielle Campagne, MD.
In questi argomenti
Un cuscinetto adiposo posteriore è sempre anormale. Anche in questa RX, la linea omerale anteriore non interseca nel mezzo il capitello radiale.
Image courtesy of Danielle Campagne, MD.