Fratture dell'omero distali

(Fratture sopracondilari)

DiDanielle Campagne, MD, University of California, San Francisco
Reviewed ByDiane M. Birnbaumer, MD, David Geffen School of Medicine at UCLA
Revisionato/Rivisto Modificata mar 2025
v13386894_it
Visualizzazione l’educazione dei pazienti

Le fratture distali dell'omero di solito derivano da una caduta su un braccio teso o da una forza diretta; possono essere associate a lesioni neurovascolari.

(Vedi anche Panoramica sulle fratture.)

Le fratture dell'omero distale sono comuni nei bambini dai 3 ai 11 anni. Il meccanismo di infortunio solito è una caduta sul braccio teso con il gomito esteso o per trauma diretto, causando spesso una scomposizione o un'angolazione posteriore.

L'arteria brachiale o il nervo mediano o radiale possono essere danneggiati, in particolare quando la frattura è dislocata posteriormente o angolata. La lesione neurovascolare a volte provoca la sindrome compartimentale dell'avambraccio, che può causare contrattura ischemica di Volkmann (una retrazione in flessione al polso con mano deformata ad artiglio a causa di un'ischemia all'avambraccio). Le fratture sono di solito intra-articolari, causando l'emartrosi.

Sintomatologia delle fratture dell'omero distali

L'area del gomito è dolorante e gonfia e il range di movimento del gomito è limitato.

Le ecchimosi sull'avambraccio mediale anteriore suggeriscono una lesione dell'arteria brachiale.

Diagnosi delle fratture dell'omero distali

  • RX in proiezione anteroposteriore e laterale

Una linea di frattura può non essere visibile, ma altri reperti radiografici possono suggerire la presenza di una frattura. Essi comprendono

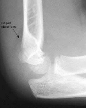
  • Cuscinetto adiposo posteriore

  • Cuscinetto adiposo anteriore (segno della vela)

  • Linea omerale anteriore anormale

  • Linea radiocapitellare anormale

Il cuscinetto adiposo posteriore su una vera radiografia di profilo di gomito è sempre anormale; questo reperto è specifico in caso di versamento articolare, ma non è molto sensibile.

Il cuscinetto adiposo anteriore può indicare un versamento articolare ma non è un segno specifico.

Tuttavia, se è visto un cuscinetto adiposo posteriore o se è presente un grande reperto adiposo anteriore (segno vela), deve essere sospettata una frattura occulta e deve essere trattato come tale.

La linea omerale anteriore è una linea tracciata lungo il margine anteriore dell'omero su una radiografia vera laterale. Normalmente, questa linea interseca nel mezzo il capitello radiale. Se la linea non interseca nulla o solo la parte anteriore del capitello radiale, è possibile la presenza di una frattura dell'omero distale dislocata posteriormente; poi sono eseguite le proiezioni radiografiche oblique, e altre immagini possono essere realizzate.

La linea radiocapitellare è una linea tracciata attraverso la parte mediana della diafisi del radio su una vera radiografia di profilo del gomito; normalmente, tale linea attraversa il capitello radiale. In caso contrario, deve essere sospettata una frattura occulta.

Consigli ed errori da evitare

  • Se i risultati nei bambini sono compatibili con una frattura dell'omero distale, un'attenta rivalutazione radiografica serve a evidenziare una frattura occulta (p. es., un cuscinetto adiposo posteriore, anomalie della linea omerale anteriore o della linea radiocapitellare).

Se i reperti trovati nei bambini sono compatibili con una frattura dell'omero distale, i radiogrammi devono essere rivisti attentamente per evidenziare una frattura occulta (p. es., un cuscinetto adiposo posteriore, anomalie nella linea omerale anteriore o nella linea radiocapitellare).

Un esame completo neurovascolare viene fatto se si sospetta una frattura. Un'attenzione particolare deve essere posta ai nervi mediano, radiale e ulnare. Gli impulsi distali devono essere confrontati con quelli dell'arto opposto, in particolare se sull'avambraccio anteriore sono presenti ecchimosi o tumefazione che si aggrava (suggerendo una lesione dell'arteria brachiale).

Linea omerale anteriore e linea radiocapitellare

Normalmente, la linea omerale anteriore, che è tracciata lungo il bordo anteriore dell'omero su una radiografia di profilo, interseca nel mezzo il capitello radiale. Se la linea non interseca niente o solamente la parte anteriore del capitello, può essere presente una frattura dell'omero distale con dislocamento posteriore.

La linea radiocapitellare, che viene tracciata attraverso la parte mediale della diafisi del radio, interseca nel mezzo il capitello radiale. In caso contrario, deve essere sospettata una frattura occulta.

Radiografia del gomito
Radiografia di profilo del gomito
Radiografia di profilo del gomito

La linea omerale anteriore e la linea radiocapitellare sono normali. Tuttavia, è presente un cuscinetto adiposo anteriore, che suggerisce un versamento articolare.

La linea omerale anteriore e la linea radiocapitellare sono normali. Tuttavia, è presente un cuscinetto adiposo anterio

... maggiori informazioni

Image courtesy of Danielle Campagne, MD.

Cuscinetto adiposo posteriore
Cuscinetto adiposo posteriore

Un cuscinetto adiposo posteriore è sempre anormale. Anche in questa RX, la linea omerale anteriore non interseca nel mezzo il capitello radiale.

Un cuscinetto adiposo posteriore è sempre anormale. Anche in questa RX, la linea omerale anteriore non interseca nel me

... maggiori informazioni

Image courtesy of Danielle Campagne, MD.

Trattamento delle fratture dell'omero distali

  • Un veloce consulto ortopedico

  • Per le fratture non scomposte o fratture occulte, applicazione di una stecca

  • Riduzione aperta con fissazione interna per le fratture scomposte

  • Per le fratture clinicamente sospette, applicazione di una stecca e follow-up ravvicinato

Le fratture scomposte sopracondilari devono essere steccate nella posizione in cui si trovano; non devono essere ridotte a causa del rischio di lesioni correlate alla riduzione del nervo mediano e dell'arteria radiale.

La maggior parte delle fratture è gestita da un chirurgo ortopedico perché le complicazioni a lungo termine sono un rischio. La maggior parte dei pazienti è ricoverata in osservazione neurovascolare, anche se alcuni medici steccano e dimettono i pazienti che hanno fratture non scomposte, se i pazienti possono fidarsi di tornare il giorno successivo per il controllo.

Le fratture dell'omero distale dislocate posteriormente o angolate, in particolare, devono essere ridotte da un chirurgo ortopedico poiché i nervi e/o l'arteria radiale possono essere danneggiati durante la manovra di riduzione. L'immobilizzazione con tutore rigido con la riduzione chiusa può essere tentata, ma non è di solito raccomandata dato che la tecnica chirurgica di riduzione a cielo aperto con fissazione interna è di solito necessaria.

Se si sospetta clinicamente una frattura (p. es., i bambini non possono muovere il gomito in un normale intervallo di movimento) e i raggi X appaiono normali, l'articolazione deve essere steccata e deve essere organizzato un follow-up ravvicinato.

Consigli ed errori da evitare

  • Immobilizzare con una stecca le fratture sopracondilari dell'omero scomposte nella posizione in cui si trovano; non cercare di ridurle.

Punti chiave

  • Le fratture dell'omero distale sono più frequenti tra i bambini.

  • Queste fratture possono danneggiare l'arteria radiale o il nervo mediano.

  • Controllare le radiografie per la presenza di un eventuale cuscinetto adiposo posteriore e anteriore, e utilizzare la linea omerale anteriore e la linea radiocapitellare per determinare la presenza di una frattura occulta.

  • Per il trattamento, consultare un chirurgo ortopedico.

quizzes_lightbulb_red
Test your KnowledgeTake a Quiz!
iOS ANDROID
iOS ANDROID
iOS ANDROID