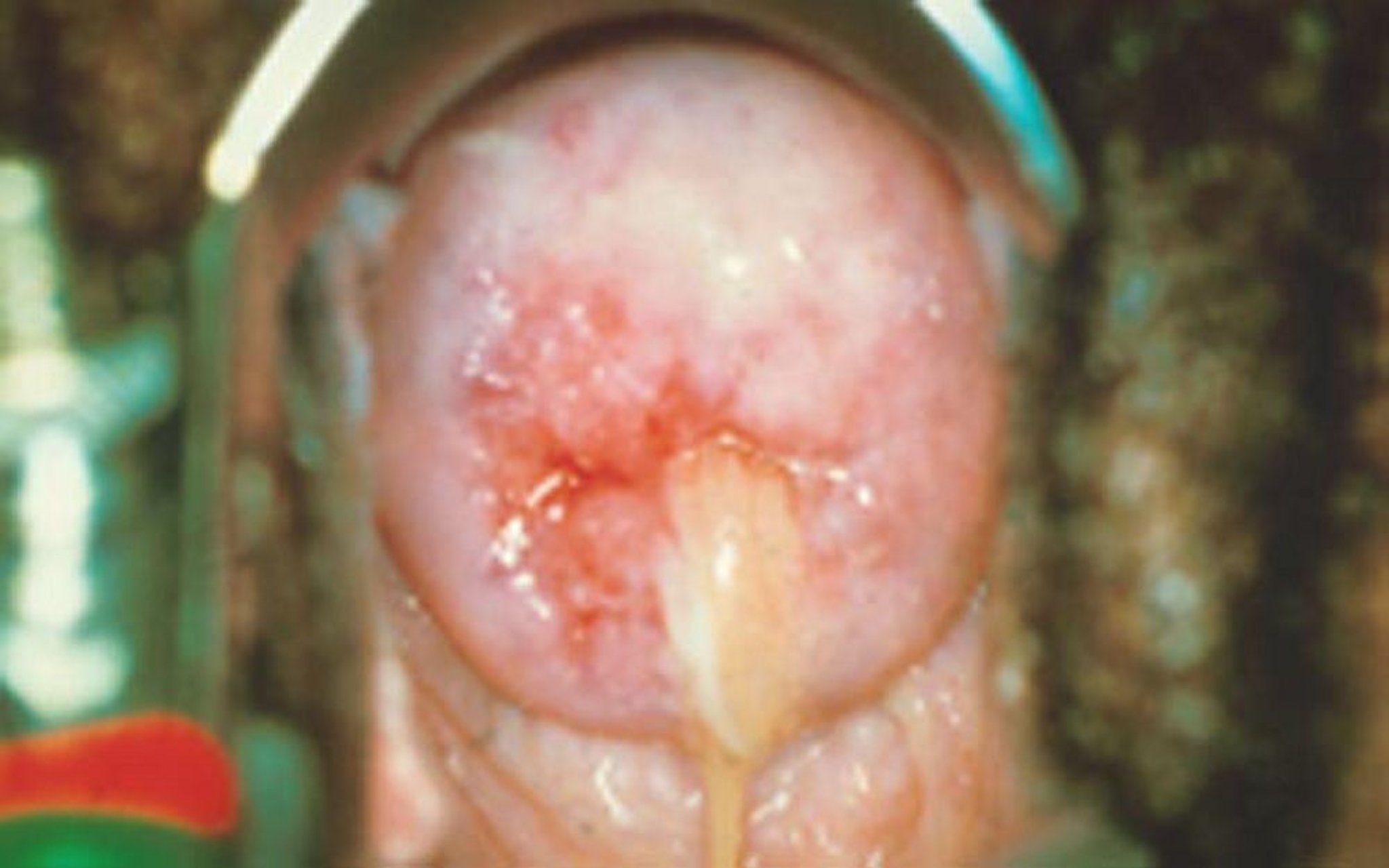
Cervicite muco-purulenta
L'orifizio cervicale è rosso e infiammato e trasuda una secrezione densa, gialla.
By permission of the publisher. Da Goldfarb A. In Atlas of Clinical Gynecology: Pediatric and Adolescent Gynecology. Edited by M Stenchever (series editor) and AF Goldfarb. Philadelphia, Current Medicine, 1998.
In questi argomenti
