Cardiomiopatia dilatativa (radiografia del torace)
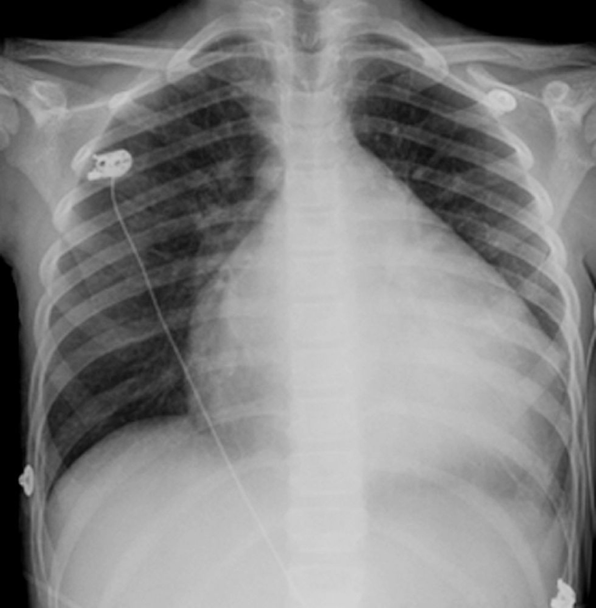
Questa radiografia mostra una grave cardiomegalia in un paziente con cardiomiopatia dilatativa.
© Springer Science+Business Media
In questi argomenti
Questa radiografia mostra una grave cardiomegalia in un paziente con cardiomiopatia dilatativa.
© Springer Science+Business Media