Carbonchio (antrace) (inalatorio)
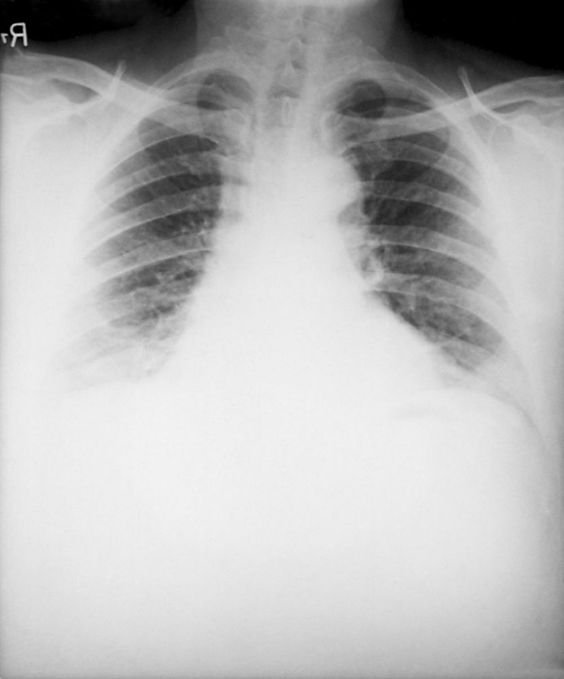
I reperti tipici della forma inalatoria del carbonchio (antrace) alla radiografia del torace includono uno slargamento del mediastino causato da linfoadenite mediastinica necrotizzante emorragica e versamenti pleurici bilaterali. Gli infiltrati polmonari sono rari.
Image courtesy of the Public Health Image Library of the Centers for Disease Control and Prevention.
In questi argomenti
