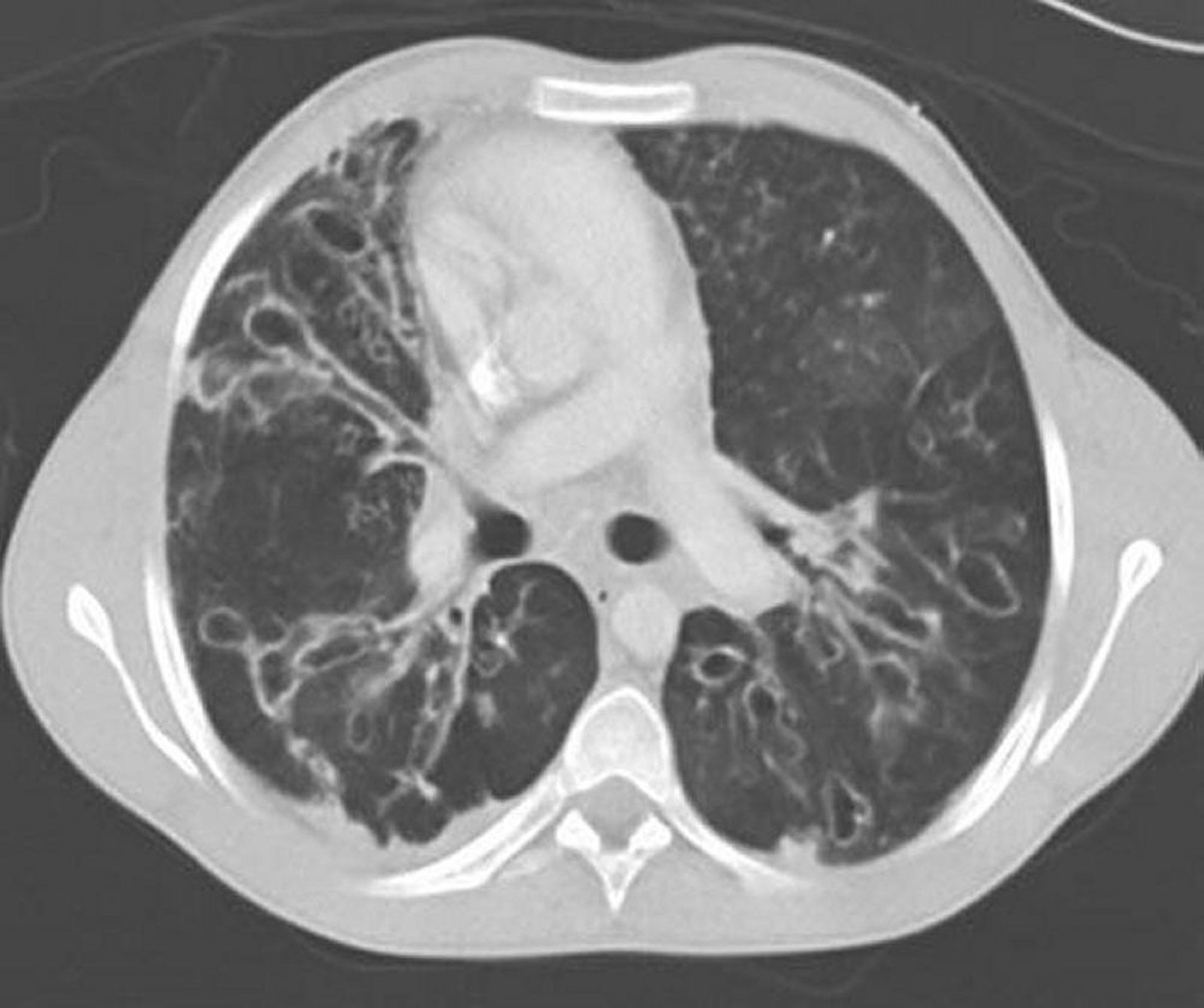
Aspergillosi broncopolmonare allergica (bronchiectasie)
Una TC torace con mezzo di contrasto mostra gravi bronchiectasie nei campi toracici medi con vie aeree dilatate ed ectasiche e alterazioni cistiche. L'ectasia delle vie aeree è caratterizzata da un rapporto tra le vie aeree e il vaso adiacente > 1.
By permission of the publisher. Da Coakley R, Boucher R, Fiel S, et al. In Bone's Atlas of Pulmonary and Critical Care Medicine. Edited by J Crapo. Philadelphia, Current Medicine, 2005.
In questi argomenti
