Aspergilloma ricorrente
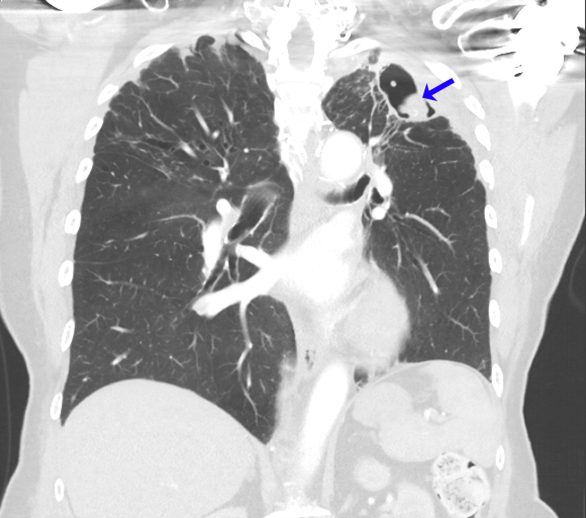
Questa scansione TC mostra i polmoni di una persona con una storia di aspergillosi broncopolmonare allergica nel contesto di un asma. Dopo lobectomia superiore sinistra per aspergilloma, si è sviluppato un micetoma ricorrente all'apice del polmone sinistro (freccia).
Image courtesy of Paschalis Vergidis, MD, MSc.
In questi argomenti
