Angio-TC cardiaca
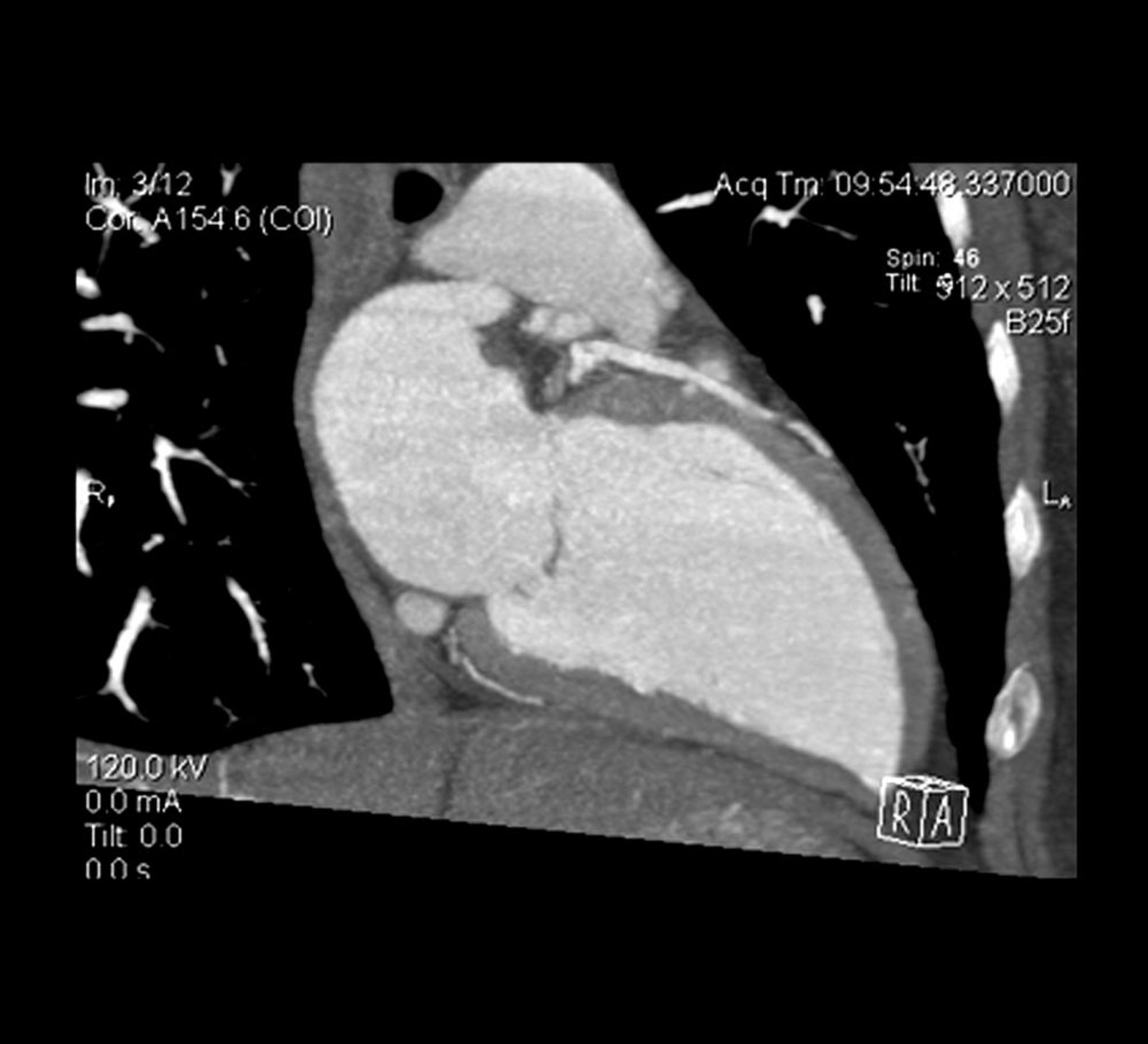
La sezione trasversale di un angio-TC cardiaca mostra il ventricolo sinistro e l'arteria discendente anteriore sinistra.
LIVING ART ENTERPRISES, LLC/SCIENCE PHOTO LIBRARY
In questi argomenti
La sezione trasversale di un angio-TC cardiaca mostra il ventricolo sinistro e l'arteria discendente anteriore sinistra.
LIVING ART ENTERPRISES, LLC/SCIENCE PHOTO LIBRARY