Adamantinoma
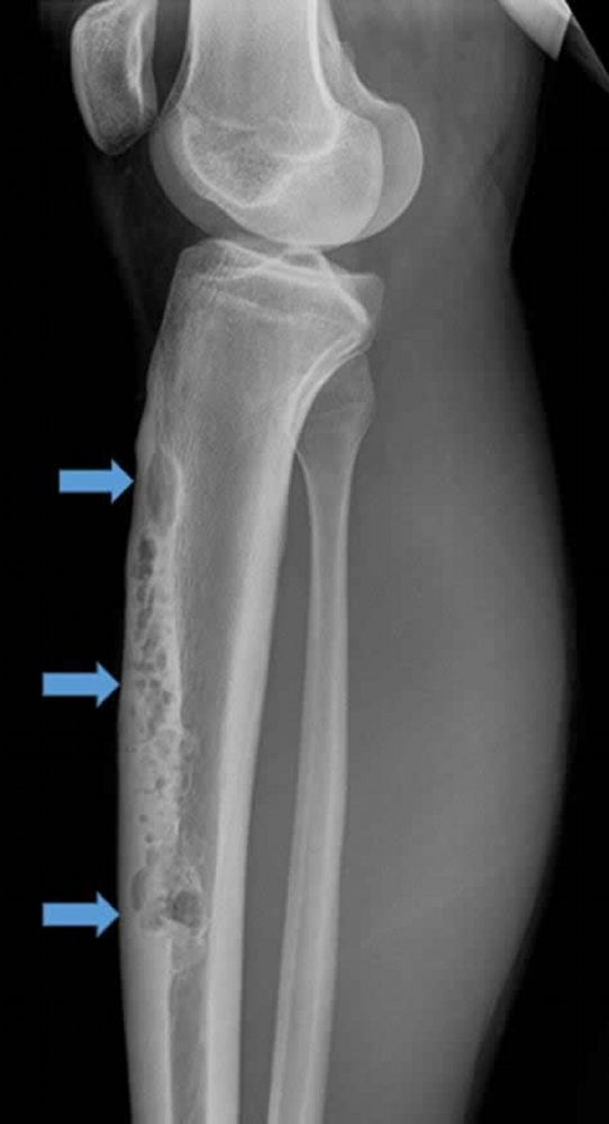
Questa radiografia di profilo della tibia destra mostra un ampio adamantinoma intracorticale anteriore (frecce). Si noti l'aspetto permeativo e osteolitico "a bolle di sapone".
Image courtesy of Michael J. Joyce, MD, and Hakan Ilaslan, MD.
In questi argomenti
