La leucoencefalopatia multifocale progressiva è causata dalla riattivazione del virus JC (di John Cunningham). La malattia si verifica generalmente nel caso di pazienti con compromissione dell'immunità cellulo-mediata, in particolare nei pazienti con infezione da HIV. La leucoencefalopatia multifocale progressiva è caratterizzata da demielinizzazione subacuta e progressiva del sistema nervoso centrale, deficit neurologici multifocali e decesso, solitamente entro 9 mesi. La diagnosi si basa sulla RM in aggiunta all'analisi del liquido cerebrospinale utilizzando il test della PCR (Polymerase Chain Reaction). In pazienti affetti da infezione da HIV allo stadio terminale (AIDS), la terapia antiretrovirale altamente attiva può rallentare la progressione. In pazienti che assumono farmaci immunosoppressori la sospensione del trattamento può migliorare il quadro clinico. Dati limitati suggeriscono che il trattamento con inibitori del checkpoint immunitario, che attivano la risposta immunitaria al virus JC (di John Cunningham), a volte è utile. Il trattamento è altrimenti di supporto.
(Vedi anche Introduzione a infezioni cerebrali.)
Eziologia della leucoencefalopatia multifocale progressiva
La leucoencefalopatia multifocale progressiva è causata dalla riattivazione del virus JC (di John Cunningham), un papovavirus umano ubiquitario che tipicamente si contrae durante l'infanzia e rimane latente nei reni e probabilmente in altre sedi (p. es., cellule mononucleate e sistema nervoso centrale). Il virus una volta riattivato presenta tropismo per gli oligodendrociti.
La maggior parte dei pazienti che sviluppano la leucoencefalopatia multifocale progressiva ha ridotto l'immunità cellulo-mediata a causa di
Infezione da HIV allo stadio terminale (AIDS) (il fattore di rischio più frequente)
Disturbi del sistema reticoloendoteliale (p. es., leucemia, linfoma)
Altre condizioni (p. es., Sindrome di Wiskott-Aldrich, trapianto di organi)
Il rischio di infezione da HIV allo stadio terminale (AIDS) aumenta insieme all'aumentare della carica virale dell'HIV; la prevalenza della leucoencefalopatia multifocale progressiva è diminuita per il largo uso di antiretrovirali più efficaci.
La leucoencefalopatia multifocale progressiva si sta verificando sempre più come una complicanza delle terapie immunomodulanti. I farmaci più frequentemente implicati comprendono
L'anticorpo monoclonale murino natalizumab
Il coniugato farmaco-anticorpo brentuximab vedotin
Ma la leucoencefalopatia multifocale progressiva si è verificata in pazienti che assumono altri farmaci (p. es., rituximab, fingolimod, dimetilfumarato). La misurazione degli anticorpi sierici del virus di John Cunningham (indice del virus di John Cunningham) può aiutare a valutare il rischio di leucoencefalopatia multifocale progressiva in pazienti che assumono natalizumab; livelli più elevati indicano un rischio più elevato.
Sintomatologia della leucoencefalopatia multifocale progressiva
La goffaggine può essere il primo sintomo della leucoencefalopatia multifocale progressiva. L'emiparesi è il reperto più frequente. Sono frequenti anche l'afasia, la disartria e l'emianopsia. Il danno corticale multifocale provoca alterazioni cognitive nei 2/3 dei pazienti. Possono essere presenti deficit sensitivi, cerebellari e del tronco encefalico.
Cefalee e convulsioni sono rare e il più delle volte insorgono nei pazienti con infezione da HIV allo stadio terminale (AIDS).
Dopo una progressione inarrestabile la malattia culmina nel decesso, abitualmente dopo 1-9 mesi dalla comparsa dei sintomi.
Diagnosi della leucoencefalopatia multifocale progressiva
RM
Test del liquido cerebrospinale per il DNA del virus di John Cunningham
La leucoencefalopatia multifocale progressiva viene sospettata in pazienti con disfunzione cerebrale inspiegabile e progressiva, in particolare nei soggetti con ridotta immunità cellulo-mediata.
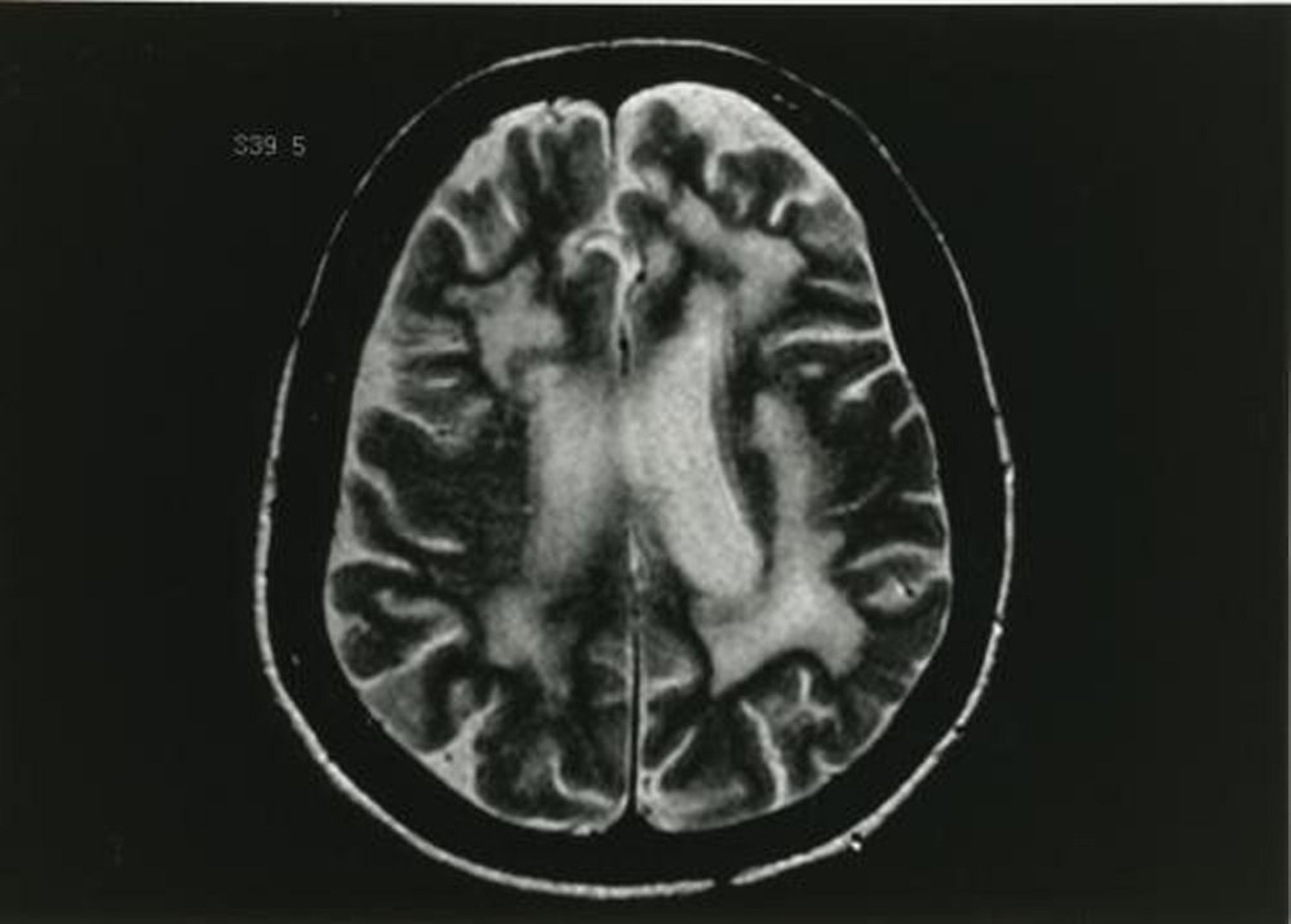
La diagnosi provvisoria di leucoencefalopatia multifocale progressiva si ottiene con la RM con mezzo di contrasto, che mostra una o più lesioni della sostanza bianca nelle immagini pesate in T2. Il mezzo di contrasto viene captato, in genere in maniera debole e periferica nel 5-15% delle lesioni. La TC può mostrare lesioni ipodense, non captanti, ma è significativamente meno sensibile della RM.
Questa immagine RM pesata in T2 mostra multipli cambiamenti nella sostanza bianca.
Immagine fornita da John E. Greenlee, MD.
Utilizzando la PCR (Polymerase Chain Reaction), si ricerca l'eventuale presenza del DNA virale JC nel liquido cerebrospinale; una positività del risultato con studio di neuroimaging compatibile è praticamente patognomonica della malattia. L'analisi di routine del liquido cerebrospinale in genere è normale.
I test sierologici non sono utili. La biopsia stereotassica può fornire una diagnosi definitiva ma è raramente necessaria.
Trattamento della leucoencefalopatia multifocale progressiva
Terapia di supporto
Il trattamento della leucoencefalopatia multifocale progressiva è principalmente di supporto.
L'uso sperimentale di farmaci quali cidofovir e altri antivirali non è riuscito a fornire benefici. La terapia antiretrovirale nei pazienti affetti da infezione da HIV allo stadio terminale (AIDS) ha migliorato la prognosi della leucoencefalopatia multifocale progressiva, aumentando la sopravvivenza a 1 anno dal 10 al 50%. Tuttavia, i pazienti trattati con una terapia antiretrovirale aggressiva possono sviluppare una sindrome infiammatoria da ricostituzione immunitaria. Nella sindrome infiammatoria da ricostituzione immunitaria, il sistema immunitario in fase di recupero produce un'intensa risposta infiammatoria contro il virus di John Cunningham, peggiorando così i sintomi. L'imaging successivo a una sindrome infiammatoria da ricostituzione immunitaria mostra un aumento delle lesioni ed un significativo edema cerebrale. L'impiego di corticosteroidi può essere utile. A seconda della gravità della sindrome infiammatoria da ricostituzione immunitaria e dell'infezione da HIV allo stadio terminale (AIDS), i medici possono decidere di sospendere la terapia antiretrovirale.
La riduzione degli immunosoppressori può determinare un miglioramento clinico. Tuttavia, i pazienti che interrompono l'assunzione di questi farmaci sono anche a rischio di sviluppare la sindrome infiammatoria da ricostituzione immunitaria.
Se la leucoencefalopatia multifocale progressiva si sviluppa in pazienti trattati con natalizumab, un altro farmaco immunomodulatore, o un immunosoppressore, il farmaco deve essere interrotto, e deve essere eseguita una plasmaferesi (scambi plasmatici) per rimuovere residui del farmaco in circolo.
Dati limitati suggeriscono che il trattamento con inibitori della morte cellulare programmata 1 (PD-1) pembrolizumab o nivolumab (inibitori del checkpoint immunitario) può ridurre la carica virale nel liquido cerebrospinale, aumentare l'attività immunitaria cellulare antivirale e portare a un miglioramento clinico (1, 2).
Riferimenti relativi al trattamento
1. Cortese I, Muranski P, Enose-Akahata Y, et al: Pembrolizumab treatment for progressive multifocal leukoencephalopathy. N Engl J Med 380(17):1597–1605, 2019. doi: 10.1056/NEJMoa1815039
2. Lambert N, El Moussaoui M, Maquet P: Immune checkpoint inhibitors for progressive multifocal leukoencephalopathy: Identifying relevant outcome factors. Eur J Neurol 2021 28(11):3814–3819, 2021. doi: 10.1111/ene.15021
Punti chiave
La riattivazione del virus JC (di John Cunningham) latente, di solito dovuta ad alterazioni dell'immunità cellulo-mediata, porta alla leucoencefalopatia multifocale progressiva.
La leucoencefalopatia multifocale progressiva provoca di solito goffaggine, emiparesi, afasia, disartria, emianopsia e deficit cognitivo.
Eseguire una RM e testare il liquido cerebrospinale per il DNA del virus JC (di John Cunningham) in pazienti che hanno un'alterata immunità cellulo-mediata e una disfunzione cerebrale progressiva inspiegabile.
I pazienti devono essere trattati con terapia di supporto e i disturbi sottostanti devono essere gestiti come indicato (p. es., interrompere la terapia con natalizumab, o altri farmaci immunomodulatori o immunosoppressori o, nei pazienti con infezione da HIV allo stadio terminale, iniziare la terapia antiretrovirale e monitorare il paziente per scongiurare l'istaurarsi di una sindrome infiammatoria da ricostituzione immunitaria).
Dati limitati suggeriscono che il trattamento con pembrolizumab o nivolumab può ridurre la carica virale nel liquido cerebrospinale, aumentare l'attività immunitaria cellulare antivirale e portare a un miglioramento clinico.



