Malattia a lesioni minime

(Nefrosi lipoidea; Malattia a lesioni minime)

DiFrank O'Brien, MD, Washington University in St. Louis
Reviewed ByNavin Jaipaul, MD, MHS, Loma Linda University School of Medicine
Revisionato/Rivisto Modificata apr 2025
v8400138_it
Visualizzazione l’educazione dei pazienti

La malattia a lesioni minime causa la brusca comparsa di edema e di marcata proteinuria, soprattutto nei bambini. La funzione renale è tipicamente normale. La diagnosi si basa sui reperti clinici o sulla biopsia renale. Il trattamento si basa sull'uso di corticosteroidi o, nei pazienti che non rispondono al trattamento, di ciclofosfamide o di ciclosporina. La prognosi è ottima.

(Vedi anche Panoramica sulla sindrome nefrotica.)

La malattia a lesioni minime è la causa più diffusa di sindrome nefrotica nei bambini di età superiore a 1 anno (70-90% dei casi di sindrome nefrotica infantile), ma si verifica anche negli adulti (15% dei casi di sindrome nefrotica nell'adulto) (1). Il disturbo sottostante è quasi sempre sconosciuto, sebbene rari casi possano comparire secondariamente all'uso di farmaci (soprattutto FANS) e a neoplasie ematologiche (in particolare linfoma di Hodgkin).

Riferimento generale

  1. 1. Vivarelli M, Massella L, Ruggiero B, Emma F. Minimal Change Disease. Clin J Am Soc Nephrol 2017;12(2):332-345. doi:10.2215/CJN.05000516

Sintomatologia della malattia a lesioni minime

La malattia a lesioni minime causa una sindrome nefrotica, generalmente in assenza di ipertensione o iperazotemia; si verifica microematuria in più della metà dei pazienti adulti con malattia a lesioni minime (1). Può verificarsi un danno renale acuto, soprattutto nei pazienti > 50-60 anni (2). Nelle urine dei pazienti con malattia a lesioni minime viene riscontrata prevalentemente albumina piuttosto che proteine sieriche di dimensioni maggiori, probabilmente perché la malattia causa delle alterazioni bioelettriche che interessano selettivamente la filtrazione dell'albumina.

Riferimenti relativi alla sintomatologia

  1. 1. Lionaki S, Mantios E, Tsoumbou I, et al. Clinical Characteristics and Outcomes of Adults with Nephrotic Syndrome Due to Minimal Change Disease. J Clin Med 2021;10(16):3632. doi:10.3390/jcm10163632

  2. 2. Meyrier A, Niaudet P. Acute kidney injury complicating nephrotic syndrome of minimal change disease. Kidney Int 2018;94(5):861-869. doi:10.1016/j.kint.2018.04.024

Diagnosi della malattia a lesioni minime

  • Negli adulti con sindrome nefrotica idiopatica, biopsia renale

Nei bambini, la diagnosi può essere sospettata (e il trattamento iniziato) sulla base delle seguenti caratteristiche tipiche:

  • Comparsa improvvisa di proteinuria inspiegabile in range nefrotico ( 3 g/die) rappresentata principalmente da albumina

  • Funzionalità renale normale

  • Sedimento urinario non nefritico

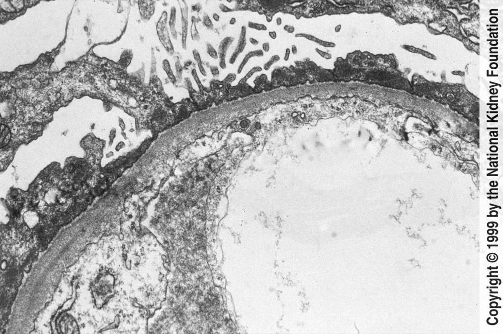
La biopsia renale è indicata in adulti e bambini con manifestazioni atipiche. La microscopia elettronica mostra edema con diffuso rigonfiamento (o scomparsa) dei processi podocitari (vedi figura Caratteristiche in microscopia elettronica delle patologie immunologiche glomerulari). Complemento e depositi di Ig sono assenti all'immunofluorescenza. Sebbene la scomparsa dei podociti non si osservi in assenza di proteinuria, si può avere un'elevata proteinuria con processi podocitari normali.

Caratteristiche in microscopia elettronica delle patologie immunologiche glomerulari

Trattamento della malattia a lesioni minime

  • Corticosteroidi

  • A volte ciclofosfamide, inibitori della calcineurina (p. es., ciclosporina, tacrolimus), micofenolato mofetile o rituximab

  • Diuretici dell'ansa (furosemide) e dieta povera di sodio per gestire l'edema.

Corticosteroidi

Remissioni spontanee si verificano in circa un terzo o più dei casi, ma alla maggior parte dei pazienti vengono somministrati corticosteroidi (1). Circa l'80-90% dei pazienti risponde alla terapia iniziale con corticosteroidi ad alte dosi (p. es., prednisone 1 mg/kg al giorno per un massimo di 8 settimane negli adulti), ma la maggior parte di coloro che rispondono ricade (2). I pazienti che rispondono (ossia, che presentano cessazione della proteinuria o una diuresi in presenza di edema) proseguono con un regime di mantenimento più prolungato a base di corticosteroidi. Il trattamento è di solito continuato per 1-2 anni. Una terapia iniziale più prolungata e una riduzione graduale più lenta del prednisone sono associate a una minore percentuale di recidive (3). La non-responsività può essere dovuta a una sottostante sclerosi focale che non è stata evidenziata a causa di un errore di campionamento bioptico.

Altre terapie immunosoppressive

Nei pazienti che non rispondono ai corticosteroidi (< 5% dei bambini e > 10% degli adulti), in quelli che presentano ricadute frequenti e nei pazienti corticosteroide-dipendenti, una prolungata remissione può essere ottenuta con l'aggiunta di un altro agente immunosoppressore (4, 5). Questi agenti comprendono la ciclofosfamide, un inibitore della calcineurina (ciclosporina o tacrolimus), il micofenolato mofetile e possibilmente il rituximab. La scelta dell'agente è influenzata dalle preferenze del medico e del paziente, dalla disponibilità e dal costo del farmaco, dalla tollerabilità e dalla potenziale tossicità.

Gestione dell'edema

La restrizione dietetica di sodio e i diuretici dell'ansa (p. es., furosemide) sono utilizzati per gestire l'edema sia negli adulti che nei bambini (6, 7, 8).

Riferimenti relativi al trattamento

  1. 1. Mak SK, Short CD, Mallick NP: Long-term outcome of adult-onset minimal-change nephropathy. Nephrol Dial Transplant 11(11):2192-2201, 1996. doi:10.1093/oxfordjournals.ndt.a027136

  2. 2. Larkins N, Kim S, Craig J, Hodson E: Steroid-sensitive nephrotic syndrome: an evidence-based update of immunosuppressive treatment in children. Arch Dis Child 101(4):404-408, 2016. doi:10.1136/archdischild-2015-308924

  3. 3. Mishra OP, Thakur N, Mishra RN, Prasad R: Prolonged versus standard prednisolone therapy for initial episode of idiopathic nephrotic syndrome. J Nephrol 25(3):394-400, 2012. doi:10.5301/jn.5000016

  4. 4. Larkins NG, Liu ID, Willis NS, et al: Non-corticosteroid immunosuppressive medications for steroid-sensitive nephrotic syndrome in children. Cochrane Database Syst Rev 4(4):CD002290, 2020. doi: 10.1002/14651858.CD002290.pub

  5. 5. Azukaitis K, Palmer SC, Strippoli GF, et al: Interventions for minimal change disease in adults with nephrotic syndrome. Cochrane Database Syst Rev 3(3):CD001537, 2022. doi: 10.1002/14651858.CD001537.pub5

  6. 6. Hampson KJ, Gay ML, Band ME: Pediatric Nephrotic Syndrome: Pharmacologic and Nutrition Management. Nutr Clin Pract 36(2):331–343, 2021. doi:10.1002/ncp.10622

  7. 7. Kalantar-Zadeh K, Fouque D: Nutritional Management of Chronic Kidney Disease. N Engl J Med 377(18):1765–1776, 2017. doi:10.1056/NEJMra1700312

  8. 8. Kidney Disease: Improving Global Outcomes (KDIGO) Glomerular Diseases Work Group: KDIGO 2021 Clinical Practice Guideline for the Management of Glomerular Diseases. Kidney Int 100(4S):S1–S276, 2021. doi:10.1016/j.kint.2021.05.021

Prognosi della malattia a lesioni minime

La prognosi per i pazienti con malattia a lesioni minime che ricevono il trattamento è favorevole, e > 80% dei pazienti raggiunge la remissione. La progressione verso l'insufficienza renale si verifica in < 5% dei pazienti ed è più frequente tra coloro che inizialmente non rispondono ai corticosteroidi (1).

Riferimento relativo alla prognosi

  1. 1. Tarshish P, Tobin JN, Bernstein J, et al: Prognostic significance of the early course of minimal change nephrotic syndrome: report of the International Study of Kidney Disease in Children. J Am Soc Nephrol 8(5):769-776, 1997 doi: 10.1681/ASN.V85769

Punti chiave

  • La malattia a lesioni minime rappresenta la maggior parte dei casi di sindrome nefrotica nei bambini e di solito è idiopatica.

  • Sospettare la malattia a lesioni minime nei bambini che presentano esordio improvviso di proteinuria di livello nefrosico con normale funzione renale e sedimento urinario non nefritico.

  • Confermare la diagnosi con la biopsia renale negli adulti e nei casi atipici nell'infanzia.

  • Trattare inizialmente con corticosteroidi.

  • La prognosi è favorevole e la maggior parte dei pazienti raggiunge la remissione con il trattamento iniziale.

quizzes_lightbulb_red
Test your KnowledgeTake a Quiz!
iOS ANDROID
iOS ANDROID
iOS ANDROID